1/3
分秒必争!他们救回六旬心梗患者
上海宝山2023-05-02 16:28:45

因为急性心肌梗死,67岁的刘先生送医时已经没有了生命体征。但仁济医院宝山分院的医护们始终没有放弃、分秒必争,把刘先生从“鬼门关”拉了回来。

上午,刘先生一家人紧紧握住了参与抢救的几名心内科医生的手,送上锦旗,对他们的及时救治表示感谢。

前些日子,刘先生早晨送孙女上学回家后,突然感觉胸痛。休息了一会儿,刘先生的胸痛更加明显,而且气短透不过气,全身冒冷汗。于是,家人马上拨打120,紧急送到了仁济医院宝山分院。但送入急诊科时,刘先生已经心跳、呼吸骤停,情况非常危急。

“当时急诊科立即启动紧急预案,调动医院整个力量去抢救这位病人,我们给他做心肺复苏,一共除颤五到六次,总算把他救回来了。”医院心内科主任介绍。

经过检查,患者被诊断为前降支根部梗死,是急性心肌梗死中最凶险的一种。由于刘先生在家中发病已将近两个小时,多耽搁一分钟,将错失抢救机会。

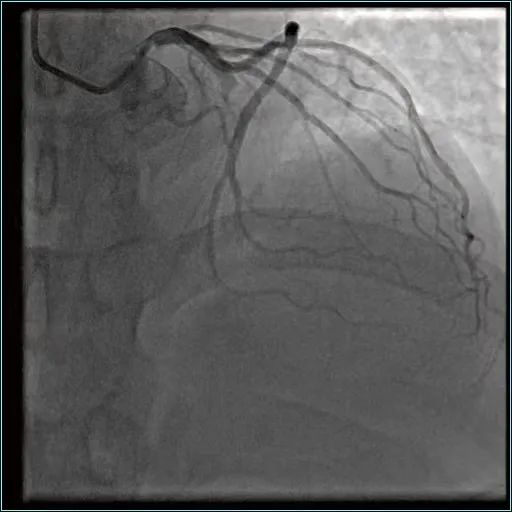
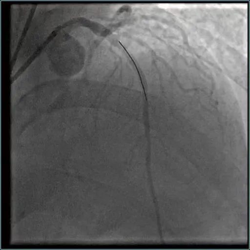
手术前

手术后

但是,刘先生除颤恢复心跳以后,非常烦躁不安、极不配合。而心脏手术精度极高,需要在一、两毫米的精细度上去操作。于是,麻醉科紧急麻醉、气管插管,送到导管室进行介入手术。心内科主任说:“如果血管闭塞超过半个小时,心肌就会出现大面积坏死,如果超过两到三个小时,心肌坏死大概要达到60%-70%,所以时间就是心肌、时间就是生命。一进入导管室,我们速度很快,大概10分钟就把血管打通了。”

经历了由悲到喜,刘先生的爱人代阿姨说不出的感激。她回忆当时送医后,她和女儿已经不知所措,只看到一群医护围着老伴抢救,所有人都在拼命与死神赛跑。

“我就看到急诊室里有许多医生和护士都在尽力抢救,他们都是用跑的,拿药的也是跑,推到导管室也是跑,就像拔河一样,硬是把我老伴夺回来了。”当时的场景,刘先生的爱人代阿姨至今记忆犹新,“他们救的不是他一个人,是我们一家呀!”

经过近两周的药物治疗,目前刘先生生命体征平稳,已康复出院了。

据了解,两年多时间,仁济医院宝山分院心内科已成功抢救100多例急性心肌梗死患者。

急性心肌梗死被称为人类健康的“头号杀手”,具有起病急、病情变化快、死亡率高的特点,每一次救治都是一场和死亡争夺的拉锯战。

目前,心血管疾病已占我国疾病死亡率第1位,中国心血管疾病患者已高达3.3亿。在每5个成年人中,就有1人罹患心血管疾病。每13个心血管疾病患者中,就有1人是心肌梗死。

心肌梗死抢救的“第一道关”把握在患者自己手中,一旦出现胸痛胸闷且持续15分钟以上,服用救心丸等不能缓解,应高度怀疑急性心肌梗死的可能。抢救时要牢记两个“120”:一是发病后及时拨打120急救电话,二是把握黄金救治120分钟,降低心梗病死率及致残率。

(来源:上海宝山)


作者:孙子璎 仲昱峰
选稿:潘馨仪
知识产权、免责声明以及媒体合作联系
继续了解
知识产权声明

【知识产权声明】

除本司(指上海东方网股份有限公司)另行声明外,本司网页及客户端产品(以下简称“本网”),包括但不限于东方新闻、翱翔、东方头条等,所涉及的任何资料(包括但不限于文字、图标、图片、照片、音频、视频、图表、色彩组合、版面设计、商标、商号、域名等)的知识产权均属本司和资料提供者所有。未经本司书面许可,任何人不得复制、转载、摘编、修改、链接、镜像或以其他任何方式非法使用东方网的上述内容。对于有上述行为者,本司将保留追究其法律责任的权利。

东方网、东方新闻、翱翔,以上均为本司享有权利之合法商标,未经本司书面授权,任何单位或个人不得使用上述商标,或将上述商标用作网站、媒体名称等。

【免责声明】

1、凡本网注明来源“东方网”或“东方新闻”或带有东方网LOGO、水印的所有内容,包括但不限于文字、图片、音频视频,版权均属本司所有,任何媒体、网站或其他任何形式的法律实体和个人未经本司书面授权均不得转载、链接或以其他方式复制传播。与我司签订有关协议或已经获得本司书面授权许可的媒体、网站或其他任何形式的法律实体和个人,应在授权范围内使用,且必须注明来源“东方网”。其目的在于传递更多信息,并不意味着本司赞同其观点或认可其内容的真实性。如果其他媒体、网站或其他任何形式的法律实体和个人使用,必须保留本司注明的“稿件来源”,并自负全部法律责任。如擅自篡改为“稿件来源:东方网”,本司将依法追究责任。

2、擅自使用东方网名义转载不规范来源的信息、版权不明的资讯,或盗用东方网名义发布信息,设立媒体账号等,本司将依法追究其法律责任。

3、鉴于本网发布主体、发布稿件来源广泛,数量较多,如因作者联系方式不详或其他原因未能及时与著作权拥有者取得联系,或著作权人发现本网转载了其拥有著作权的作品时,请主动来函、来电与本司联系,或与本司授权的中国文字著作权协会联系,提供相关证明材料,我方将及时处理。
中国文字著作权协会联系方式:
联系人:赵洪波 唐亚静
地 址:北京西城区珠市口西大街120号太丰惠中大厦1027-1036室
联系电话:010-65978917
邮 箱:wenzhuxie@126.com

4、本网所有声明以及其修改权、更新权及最终解释权均属本司所有。

【媒体合作】

本司为尊重保护著作权,鼓励有益于社会主义精神文明、物质文明建设的作品的创作和传播,促进互联网良性发展,本着平等互惠、资源共享的原则,诚邀各类媒体、网站、单位、个人与本网建立友好的合作关系。
媒体合作、内容转载请联系
联系人:杨老师
联系电话:021-22899781