1/4
健康科普 | 不“瘤”余地!杨中心普外科团队成功切除巨大肿瘤
上海杨浦2023-06-09 10:51:35

前不久,杨浦区中心医院普外科

联手介入室、手术室、

泌尿外科及麻醉科等

成功切除一例侵犯下腔静脉的

巨大腹膜后肿瘤。

患者术后恢复良好,

如今已顺利出院。

手术难度很大,

医生们是如何做到成功切除的呢?

前不久,杨浦区中心医院普外科刘海龙副主任医师接诊了一位“特殊”患者。这位患者异常显眼,她双目失明、走路蹒跚,在同是盲人的老伴的陪同下,好不容易才来到医院。刘海龙一眼就注意到了她,并立即为其安排了优先就诊。

尚未等刘海龙问诊,患者便恳求道:“大夫,近半年来我的肚子越来越胀,现在饭都不怎么吃得下。我去过好几家医院,也做了CT检查,他们说这是什么腹膜肿瘤,手术很难做,你帮帮我吧。”

图片

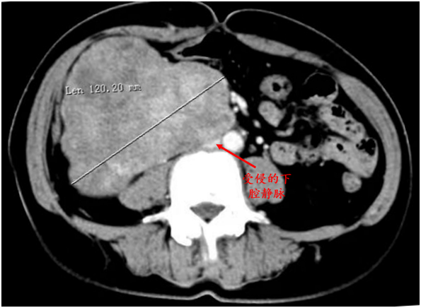
在安抚好患者的情绪后,刘海龙立刻为其进行详细的问诊和体格检查,发现患者右侧腹部有一排球大小肿物,质韧、边界不清、活动欠佳。结合患者携带的CT片子,刘海龙立刻诊断出这是位于右侧腹腔的一例巨大腹膜后肿瘤,肿瘤压迫输尿管已引起了右肾盂积水,更严重的是,肿瘤基底部与下腔静脉连接紧密,考虑存在侵犯。尽管手术难度很大,刘海龙在快速评估了肿瘤情况后,还是决定收治这位特殊患者。

由于病情复杂,刘海龙立刻组织了科内讨论,并邀请介入室、泌尿外科、手术室和麻醉科等共同为患者制定手术方案。经过周密的手术计划和充分准备,决定先由介入室的汤旻副主任医师和蔺松若主治医师行选择性肿瘤供血动脉栓塞术,再行肿瘤切除。手术由普外科林谋斌主任医师和刘海龙副主任医师联手开展,术中探查发现腹膜后肿瘤与右半结肠、十二指肠水平部、右肾、右肾静脉、右输尿管粘连紧密,其基底部与下腔静脉更是关系密切、不能剥离。

图片

但凭借深厚的手术经验,两位医生沉着应战、精细操作,逐步分离肿瘤与周围粘连紧密的组织,并成功切除受侵的部分下腔静脉,予以严密的缝扎止血。历经3小时的攻坚克难,这台高难度手术顺利结束,完整切除了这颗约15×12×9cm大小的巨大肿瘤,完好保留了十二指肠、右肾及输尿管、右半结肠等周围脏器,并且术中出血仅百余毫升。

在医护人员的悉心治疗和护理下,患者术后恢复顺利,术后第一天恢复活动、饮水,第三天恢复半流质饮食,术后第七天顺利出院。出院当天,这对盲人夫妇只有安心和止不住的高兴。鉴于患者行动不便,普外科医师还将为其提供上门随诊服务,解决后顾之忧。

预防知识

腹膜后肿瘤主要来源于腹膜后间隙。部位深在,早期多无症状,随着肿瘤的发展,始觉腰腹胀痛或出现脏器组织的推移压迫症状。因此有腰腹部钝胀痛不适时,应警惕本病,争取早期发现,早期治疗。

腹膜后肿瘤多属恶性,发展快、预后不佳。目前对其治疗仍以手术为主,放化疗效果一般,望患者疑有本病时,到有条件的医院诊治,以策良效。

专家介绍

林谋斌

主任医师、教授、博士研究生导师、杨浦区中心医院副院长、大外科主任、普外科主任、临床研究与转化医学中心主任

图片

专长:各类胃肠肿瘤腹腔镜微创根治手术,尤其擅长超低位直肠癌的保肛手术;顽固性便秘的微创手术(改良Duhamel手术)、肛瘘的微创治疗(视频辅助肛瘘治疗VAFFT)、克罗恩病的微创手术、溃疡性结肠炎和家族性息肉病的IPAA手术、直肠脱垂的微创手术及直肠阴道瘘的手术治疗、功能性胃肠病的手术治疗等。2004年在国内率先开展超低位直肠癌保肛手术(ISR手术),2015年完成上海首例完全经肛的腔镜下超低位直肠癌保肛术(经自然腔道内镜手术),2015年5月完成国内首例视频辅助肛瘘治疗术。

专家门诊时间:周一上午,杨浦区中心医院(腾越路450号)

刘海龙

副主任医师,外科学博士,硕士研究生导师,普外科行政副主任,上海市疾控中心肿瘤外科和跨学科治疗委员会委员

图片

专长:擅长胃肠肿瘤的腹腔镜微创手术,低位直肠癌保肛术,慢性功能性便秘的综合治疗。

专家门诊时间:周一上午,杨浦区中心医院(腾越路450号)

选稿:蒋昕婕
知识产权、免责声明以及媒体合作联系
继续了解
知识产权声明

【知识产权声明】

除本司(指上海东方网股份有限公司)另行声明外,本司网页及客户端产品(以下简称“本网”),包括但不限于东方新闻、翱翔、东方头条等,所涉及的任何资料(包括但不限于文字、图标、图片、照片、音频、视频、图表、色彩组合、版面设计、商标、商号、域名等)的知识产权均属本司和资料提供者所有。未经本司书面许可,任何人不得复制、转载、摘编、修改、链接、镜像或以其他任何方式非法使用东方网的上述内容。对于有上述行为者,本司将保留追究其法律责任的权利。

东方网、东方新闻、翱翔,以上均为本司享有权利之合法商标,未经本司书面授权,任何单位或个人不得使用上述商标,或将上述商标用作网站、媒体名称等。

【免责声明】

1、凡本网注明来源“东方网”或“东方新闻”或带有东方网LOGO、水印的所有内容,包括但不限于文字、图片、音频视频,版权均属本司所有,任何媒体、网站或其他任何形式的法律实体和个人未经本司书面授权均不得转载、链接或以其他方式复制传播。与我司签订有关协议或已经获得本司书面授权许可的媒体、网站或其他任何形式的法律实体和个人,应在授权范围内使用,且必须注明来源“东方网”。其目的在于传递更多信息,并不意味着本司赞同其观点或认可其内容的真实性。如果其他媒体、网站或其他任何形式的法律实体和个人使用,必须保留本司注明的“稿件来源”,并自负全部法律责任。如擅自篡改为“稿件来源:东方网”,本司将依法追究责任。

2、擅自使用东方网名义转载不规范来源的信息、版权不明的资讯,或盗用东方网名义发布信息,设立媒体账号等,本司将依法追究其法律责任。

3、鉴于本网发布主体、发布稿件来源广泛,数量较多,如因作者联系方式不详或其他原因未能及时与著作权拥有者取得联系,或著作权人发现本网转载了其拥有著作权的作品时,请主动来函、来电与本司联系,或与本司授权的中国文字著作权协会联系,提供相关证明材料,我方将及时处理。
中国文字著作权协会联系方式:
联系人:赵洪波 唐亚静
地 址:北京西城区珠市口西大街120号太丰惠中大厦1027-1036室
联系电话:010-65978917
邮 箱:wenzhuxie@126.com

4、本网所有声明以及其修改权、更新权及最终解释权均属本司所有。

【媒体合作】

本司为尊重保护著作权,鼓励有益于社会主义精神文明、物质文明建设的作品的创作和传播,促进互联网良性发展,本着平等互惠、资源共享的原则,诚邀各类媒体、网站、单位、个人与本网建立友好的合作关系。
媒体合作、内容转载请联系
联系人:杨老师
联系电话:021-22899781