1/2
防晒喷雾这样用竟然会导致“白肺”?医生紧急提醒→
上海黄浦2023-08-08 18:37:05

夏日炎炎,

不少人除了打伞、戴帽子防晒之外

还会经常用到防晒霜、防晒喷雾等产品

殊不知,使用防晒喷雾等也需要小心!

湖南长沙一小伙就因误吸了喷雾

竟出现“白肺”!

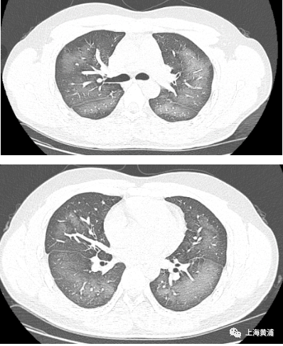
日前,湖南省长沙市一名20岁小伙李林(化名)外出前使用了防晒喷雾,在对着面部喷洒时一不小心误吸,随即出现胸闷、咳嗽的症状。症状一直持续到第二天仍未好转,他急忙来到长沙市第三医院就诊。

经检查,肺部CT片显示,李林双肺赫然呈现大范围白色样病变,报告提示“白肺”。

图片

急诊医生给予李林吸氧、化痰、抗感染治疗后,他的症状得到明显改善。

只是喷个防晒喷雾,肺部怎么就受损了?

接诊医生表示,除了感染、弥漫性肺泡出血综合征等“白肺”最常见的病因外,吸入有害物质如粉尘、喷雾等,也可导致肺部出现大范围白色样病变。这位年轻的患者就是因为使用不当,吸入了一部分防晒产品进入肺部,导致“白肺”的发生。

其实,防晒喷雾中潜在的危害

不止于此

稍有不慎就会“引火上身”

一位爸爸给孩子喷防晒喷雾

没留意孩子在玩打火机

防晒喷雾秒变“喷火枪”

非常惊险!

图片

消防员也曾进行过实验

↓↓↓

用鸡腿模拟人的皮肤,在喷上防晒喷雾约5秒后,拿出点火器点火,此时鸡腿突然着火,还伴有滋滋的声响。

图片

防晒喷雾为什么会“引火上身”?

图片

市面上常见的防晒喷雾成分里都含有变性乙醇、丁烷、异丁烷等可燃物,这些物质遇到明火就会燃烧。

异丁烷,又名2-甲基丙烷。是一种有机化合物,常温常压下为无色可燃性气体。微溶于水,可溶于乙醇、乙醚等,与空气形成爆炸性混合物,主要存在于天然气、炼厂气和裂解气中,经物理分离获得,主要用于与异丁烯经烃化制异辛烷,作为汽油辛烷值的改进剂,也可用作冷冻剂。

防晒喷雾应该如何使用才正确?

防晒喷雾产品虽然使用方便,

使用时雾化效果较佳,

但是因其为压力包装,

大部分产品有可燃推进剂作为动力源,

使用时更需要了解其正确的使用方法

这样用才安全↓

选用温和无刺激、适合自己肤质的产品。如果对酒精不耐受,不要选用含有酒精的防晒喷雾。

因个人肤质不同,首次使用前可以把少量防晒喷雾涂抹在耳后、肘关节内侧等部位进行皮试,保持24~72小时,确定无不适反应以后再进行使用。

使用防晒喷雾时主要喷洒在身体部位,使用时与皮肤至少保持15~20厘米的距离。使用于面部和颈部时,请先喷洒在手上,然后用手均匀涂抹。

不要在肌肤伤口、红肿或湿疹等有异常的部位使用防晒喷雾。

不要在同一个身体部位近距离(如10厘米内)连续喷射超过3秒,防晒喷雾中的推进剂喷出后会迅速挥发吸热,长时间或者近距离使用可能会冻伤皮肤。

不要在卫生间、车内等狭小密闭不通风空间内使用,喷洒时要注意通风,使用时紧闭口鼻,勿刻意吸气,避免大量吸入喷雾。

应放在儿童接触不到的地方,儿童应在成人监护下使用防晒喷雾。

防晒喷雾中通常含有易燃物质,请存放在阴凉干燥通风环境中,避免阳光直晒。使用时应远离火源、热源、静电,不得撞击产品,不得将产品或使用完的空罐刺穿或投入火中。

除了防晒喷雾

下列夏季常见的用品也属于

易!燃!物!品!

止汗类用品

夏季高温,很多人喜欢用止汗露等产品。实验证明,止汗露一接触明火,易发生轰燃。因此,包装上印有易燃易爆标识的止汗类产品切勿喷洒在明火或其他火源附近。

头发定型类用品

发胶里的成分大都是可燃物,且大部分是压缩灌装的,因此发胶在遇热时很容易发生爆炸。另外,发胶喷雾弥散的范围较大,旁边一旦有火源,哪怕只是一根香烟,都可能引燃发胶。

指甲油、卸甲水

指甲油中含有70%~80%的易挥发溶剂,其成分中的硝化棉在空气中易自燃。建议在通风环境下使用指甲油,不用时将其保存在阴凉处。

花露水、爽肤水

这类产品大部分含有酒精,这也是它们用起来感觉清凉舒爽的原因之一,所以使用时同样要远离明火。

香水、空气清新剂

香水里含有一定量的乙醇(即酒精);灌装空气清新剂的主要成分是丙烷和丁烷,均是易燃易爆气体。

在使用以上产品时要格外注意

远离火源,避免高温、撞击

在保存这些物品时

一定要放在通风阴凉处

选稿:蒋昕婕
知识产权、免责声明以及媒体合作联系
继续了解
知识产权声明

【知识产权声明】

除本司(指上海东方网股份有限公司)另行声明外,本司网页及客户端产品(以下简称“本网”),包括但不限于东方新闻、翱翔、东方头条等,所涉及的任何资料(包括但不限于文字、图标、图片、照片、音频、视频、图表、色彩组合、版面设计、商标、商号、域名等)的知识产权均属本司和资料提供者所有。未经本司书面许可,任何人不得复制、转载、摘编、修改、链接、镜像或以其他任何方式非法使用东方网的上述内容。对于有上述行为者,本司将保留追究其法律责任的权利。

东方网、东方新闻、翱翔,以上均为本司享有权利之合法商标,未经本司书面授权,任何单位或个人不得使用上述商标,或将上述商标用作网站、媒体名称等。

【免责声明】

1、凡本网注明来源“东方网”或“东方新闻”或带有东方网LOGO、水印的所有内容,包括但不限于文字、图片、音频视频,版权均属本司所有,任何媒体、网站或其他任何形式的法律实体和个人未经本司书面授权均不得转载、链接或以其他方式复制传播。与我司签订有关协议或已经获得本司书面授权许可的媒体、网站或其他任何形式的法律实体和个人,应在授权范围内使用,且必须注明来源“东方网”。其目的在于传递更多信息,并不意味着本司赞同其观点或认可其内容的真实性。如果其他媒体、网站或其他任何形式的法律实体和个人使用,必须保留本司注明的“稿件来源”,并自负全部法律责任。如擅自篡改为“稿件来源:东方网”,本司将依法追究责任。

2、擅自使用东方网名义转载不规范来源的信息、版权不明的资讯,或盗用东方网名义发布信息,设立媒体账号等,本司将依法追究其法律责任。

3、鉴于本网发布主体、发布稿件来源广泛,数量较多,如因作者联系方式不详或其他原因未能及时与著作权拥有者取得联系,或著作权人发现本网转载了其拥有著作权的作品时,请主动来函、来电与本司联系,或与本司授权的中国文字著作权协会联系,提供相关证明材料,我方将及时处理。
中国文字著作权协会联系方式:
联系人:赵洪波 唐亚静
地 址:北京西城区珠市口西大街120号太丰惠中大厦1027-1036室
联系电话:010-65978917
邮 箱:wenzhuxie@126.com

4、本网所有声明以及其修改权、更新权及最终解释权均属本司所有。

【媒体合作】

本司为尊重保护著作权,鼓励有益于社会主义精神文明、物质文明建设的作品的创作和传播,促进互联网良性发展,本着平等互惠、资源共享的原则,诚邀各类媒体、网站、单位、个人与本网建立友好的合作关系。
媒体合作、内容转载请联系
联系人:杨老师
联系电话:021-22899781