1/3
健康济语丨铰链式假体赋予行走新“膝”望
上海普陀2023-12-09 17:06:22

图片

性骨肿瘤,俗称“骨癌”,好发于青少年,其发展迅速,预后不佳,死亡率高,是最残忍的癌症之一。随着新辅助化疗的进步,保肢手术成为目前主要的治疗方式。然而,术后恶性骨肿瘤的复发是目前临床治疗的难点。近期,同济大学附属同济医院骨科采用铰链式人工膝关节假体,完成两例高难度股骨恶性骨肿瘤复发后关节置换手术,成功为两名年轻女性患者实行了保肢手术。

案例1:

患者范女士(30岁)两年前因右股骨远端病理性骨折于外院行手术治疗,术后病理诊断为侵袭性骨巨细胞瘤,术后两年复查发现右侧股骨远端肿瘤复发,局部压迫症状明显,外院建议行截肢手术。

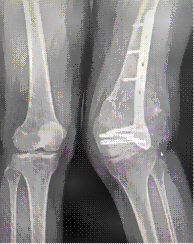
图片

术前x线表现

对于这突如其来的噩耗,患者一时难以接受,后慕名来到同济大学附属同济医院骨科门诊就诊。经过周密的术前检查及评估发现,患者股动脉尚未被肿瘤完全包绕,这为保肢手术创造了良好的条件。近期,在同济医院骨科创伤骨科主任樊健教授的指导下,骨科李山珠主任医师、蔡涛博士团队完整切除了病变的股骨远端肿瘤并安装新型的铰链式人工膝关节假体。手术十分顺利,术后X片显示患者膝关节功能良好,目前正在康复中。

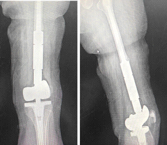
图片

术后影像

案例2:

患者董女士(32岁)两年前因左股骨皮质旁骨肉瘤行保肢手术,术后四年影像学提示肿瘤复发。由于瘤体巨大,外院大多建议行截肢手术。

患者抱着一丝希望,慕名到同济大学附属同济医院骨科副主任袁锋专家门诊就诊。在完善术前检查后发现,患者股动脉及股静脉嵌顿于肿瘤缝隙之中。鉴于患者保肢欲望强烈,袁锋带领蔡涛等相关团队术中经过仔细操作,在完整切除肿瘤的前提下,成功分离出肿瘤缝隙中的股动脉及股静脉,为患者进行了铰链式膝关节假体置换,成功完成了患者的保肢手术。

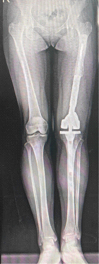
图片

术前影像学

图片

术后影像学

随着科技的发展,铰链式膝关节假体的兴起为很多恶性骨肿瘤患者带去了行走的新希望。同济大学附属同济医院骨科作为国家临床重点专科建设项目科室、上海市重中之重临床重点学科,在程黎明主任带领下正积极推动手术微创化、精细化、智能化发展,力争以最小的创伤解决患者最大问题,尽最大的努力为百姓健康保驾护航。

专家介绍

图片

程黎明医学博士,二级主任医师,博士生导师同济大学附属同济医院骨科主任、骨科脊柱外科主任同济大学长聘特聘教授、医学与生命学部副主任

国际神经修复学会(IANR)理事、中国研究型医院神经转化研究专委会副主任委员、中国康复医学会骨质疏松预防与康复专业委员会副主任委员、上海市医师协会骨科分会副会长。先后牵头获中国康复医学会科学技术奖一等奖、华夏医学科技奖一等奖等省部级奖励10余项。入选上海市领军人才、上海市优秀学科带头人等人才计划。获国家有突出贡献中青年专家、国家特殊津贴、教育部新世纪优秀人才、上海医学发展杰出贡献奖、上海市领军人才等荣誉。

图片

樊健医学博士、主任医师、博士研究生导师同济大学附属同济医院骨科创伤骨科主任

上海市医学会骨科分会创伤学组委员、上海市医师协会骨科分会骨肿瘤学组委员,上海市中西医结合学会创伤学组委员、国际矫形与创伤外科学会(SICOT)中国部青年学组委员。长期从事创伤骨科临床工作,在复杂四肢创伤、髋臼骨盆骨折、腕部及老年骨质疏松性骨折等诊治方面具有相当经验。

图片

袁锋主任医师、教授、博士生导师同济大学附属同济医院骨科副主任

中国医师协会上海骨科分会创伤学组委员、中国修复重建外科专业委员。2009年5-7月受邀为密西西比医学中心访问学者并曾多次受邀到德国、瑞士等国交流学习。先后承担过上海市卫生局课题及上海市科委课题各2项。在国内外学术期刊发表论文80余篇,其中SCI收录20篇。

图片

李山珠同济大学附属同济医院骨科主任医师

从事骨科医教研工作33年,系统掌握四肢与骨盆外科基础理论和前沿新理论新技术,在国内较早地将微创治疗理念引入创伤骨科领域,主持新疆科技厅科技支撑二项、上海市卫生局科研课题二项,作为主要研究人员参与多项国家级课题。擅长骨与关节损伤的诊断和处理,能独立完成重大、高难度四肢骨折手术。

选稿:严佳文
知识产权、免责声明以及媒体合作联系
继续了解
知识产权声明

【知识产权声明】

除本司(指上海东方网股份有限公司)另行声明外,本司网页及客户端产品(以下简称“本网”),包括但不限于东方新闻、翱翔、东方头条等,所涉及的任何资料(包括但不限于文字、图标、图片、照片、音频、视频、图表、色彩组合、版面设计、商标、商号、域名等)的知识产权均属本司和资料提供者所有。未经本司书面许可,任何人不得复制、转载、摘编、修改、链接、镜像或以其他任何方式非法使用东方网的上述内容。对于有上述行为者,本司将保留追究其法律责任的权利。

东方网、东方新闻、翱翔,以上均为本司享有权利之合法商标,未经本司书面授权,任何单位或个人不得使用上述商标,或将上述商标用作网站、媒体名称等。

【免责声明】

1、凡本网注明来源“东方网”或“东方新闻”或带有东方网LOGO、水印的所有内容,包括但不限于文字、图片、音频视频,版权均属本司所有,任何媒体、网站或其他任何形式的法律实体和个人未经本司书面授权均不得转载、链接或以其他方式复制传播。与我司签订有关协议或已经获得本司书面授权许可的媒体、网站或其他任何形式的法律实体和个人,应在授权范围内使用,且必须注明来源“东方网”。其目的在于传递更多信息,并不意味着本司赞同其观点或认可其内容的真实性。如果其他媒体、网站或其他任何形式的法律实体和个人使用,必须保留本司注明的“稿件来源”,并自负全部法律责任。如擅自篡改为“稿件来源:东方网”,本司将依法追究责任。

2、擅自使用东方网名义转载不规范来源的信息、版权不明的资讯,或盗用东方网名义发布信息,设立媒体账号等,本司将依法追究其法律责任。

3、鉴于本网发布主体、发布稿件来源广泛,数量较多,如因作者联系方式不详或其他原因未能及时与著作权拥有者取得联系,或著作权人发现本网转载了其拥有著作权的作品时,请主动来函、来电与本司联系,或与本司授权的中国文字著作权协会联系,提供相关证明材料,我方将及时处理。
中国文字著作权协会联系方式:
联系人:赵洪波 唐亚静
地 址:北京西城区珠市口西大街120号太丰惠中大厦1027-1036室
联系电话:010-65978917
邮 箱:wenzhuxie@126.com

4、本网所有声明以及其修改权、更新权及最终解释权均属本司所有。

【媒体合作】

本司为尊重保护著作权,鼓励有益于社会主义精神文明、物质文明建设的作品的创作和传播,促进互联网良性发展,本着平等互惠、资源共享的原则,诚邀各类媒体、网站、单位、个人与本网建立友好的合作关系。
媒体合作、内容转载请联系
联系人:杨老师
联系电话:021-22899781