张老太已经从会计行业退休很多年了。长期伏案工作导致她的颈椎经常会酸痛不适,年轻的时候她到医院看门诊,医生就和她说是“颈椎病”。疼痛不适反复发作,每次她只要适当休息自然就能缓解。因此这么多年来,她也没有把颈椎放在心上。退休后老太太迷上了看手机短视频,看着学如何跳舞、做菜、织毛衣……,结果在某一天,老太太突然出现了从颈肩部一直到前臂的疼痛和麻木。刚开始疼痛还是隐隐约约,逐渐2-3周后疼痛越来越明显。她先跑到了社区医院,社区医生给她拍X线片,还是诊断她“颈椎病”,开了一些止痛消肿的药物,以及几个疗程颈椎理疗牵引。可是治疗之后,疼痛往往当时能缓解几天,后面又重新出现。疼痛这样迁延了3个月,最近几天突然加重了,晚上睡眠也有影响。社区医生建议还是到脊柱外科专科做进一步的检查治疗。张老太的老伴王大爷有些嫌烦,不是很情愿的带着张老太预约挂号了三级医院脊柱外科的专家门诊,脊柱外科医生问诊、查体后,建议张老太需要预约颈椎核磁检查,王大爷怕麻烦:“不是可以先用用药吗?大医院比社区医院药更多更有效,反正就是颈椎病,老百姓都知道,止止痛就好了,反正又看不好。”
接诊的医生是脊柱微创外科的专家,耐心很好,给王大爷详细的解释:“老太太目前症状查体都符合颈椎神经根受压迫引起的放射性疼痛,很有可能是颈椎某一节突出增生压迫到了神经根,需要做颈椎核磁进一步明确。”
“颈椎病本身是一个很宽泛的概念,大家很容易把颈部疼痛不适及各种症状都归为颈椎病,然而从医学准确的定义上看,它是由颈椎椎间盘退变老化最先开始,进一步引起了颈椎骨质增生,然后出现了神经血管的刺激和压迫的一系列症状。严格意义上单纯的颈肌劳损并不是颈椎病。人的椎间盘就像是椎体之间的缓冲垫,多层的纤维环好似外壳包裹胶冻状的髓核组织,可以适当的活动也可以缓冲极大的压力。然而人在25岁以后(某些人会更早),椎间盘就会进入老化的过程,逐渐的脱水,失去弹性,纤维环也会逐渐的薄弱,和这一过程伴随的就是脊柱的骨质增生,骨质增生本质上是骨骼对于不稳定的一种代偿反应。这个过程是非常缓慢的,可能需要持续30-50年,往往5-10年才会有明显的进展变化。在这个过程中,某些人经常低头伏案,颈椎就比其他人老化的更快,更容易出现症状。而某些人颈椎虽然也在退化,但不会有明显症状。”
“颈椎病的症状非常复杂繁多,其中有很多症状如头晕、眼花、恶心、心悸等等目前还没有研究的很清楚,只能粗浅的知道可能和血管或交感神经系统有关,治疗的手段也很有限。但是颈椎病压迫神经引起的疾病,脊髓型颈椎病和神经根型颈椎病目前研究非常明确,治疗结果确切,如果反复保守很有可能导致神经功能的永久损伤。”
”老太太的病情目前非常符合神经根型颈椎病的诊断,需要进一步核磁检查,明确节段和范围。而且核磁检查没有辐射,并不用担心。”专家最后补充。
老伴俩同意了做颈椎核磁检查,放射科第二天就做好了核磁,第三天放射科报告刚出来,他们就一起又来到了同一个专家门诊的诊室。这回王大爷知道自己是外行,就主要由张老太询问情况。老太太看到报告上面描述了“颈椎C3-C7都有不同程度的突出”,非常的担心:“我的颈椎是不是非常严重,每一节都有突出的话要不要都开刀割掉?”
医师仔细的阅读了她的核磁片子,微笑的回答他:“不是这样的,您看到的报告单只是影像学上形态的描述,它不是决定治疗方式的临床诊断,必须要经过临床症状、体征和影像相印证才能决定进一步的治疗方案。您的症状是典型的单一神经根受压引起的,应该是颈椎67节椎间盘有一处突出增生压迫了您的颈椎神经根。”
“那报告上面‘C3-C7椎间盘突出’又是怎么一回事呢?”张老太疼痛了很长时间,非常担心自己的病情。
“这是因为您本身颈椎退变增生的关系。”
“上次和您讲过人到中年开始颈椎开始出现退变增生,颈椎椎间盘会不同程度的出现脱水、塌陷,椎间盘后缘出现膨隆、突出,同时伴随着椎体周边的骨质增生,椎管后面的黄韧带肥厚,颈椎椎管出现逐渐进展的狭窄。这是一个缓慢发展的过程,由于颈椎椎管本身空间比较大,轻度的狭窄增生就算碰到了脊髓神经,脊髓神经还是有空间让开,所以并不是出现了增生突出就一定有神经压迫,大多数颈椎的突出就是人老化的表现,很多人是没有症状的,或者是颈部软组织的劳损疼痛,完全可以通过自身保健或保守治疗缓解减轻疼痛症状。但是如果在退变狭窄的基础上,如果出现椎间盘纤维环破裂,髓核突出,或者颈椎的增生狭窄不断发展严重到一定程度,神经再也没有空间,出现明确的神经压迫,就会出现非常典型的神经根性疼痛,或者脊髓压迫出现四肢麻木乏力。这时候就必须要手术治疗了。”
“那现在我片子上有这么多节的突出,到底哪一节是我的引起症状的节段呢?”张老太还是有疑惑。
医生继续耐心的解释:“神经根型颈椎病一般都是颈椎侧方突出或狭窄压迫单一神经根引起,因此仔细读片明确定位诊断,确定您病症的真正病因,也就是医生所说的责任节段是非常重要的。您的症状和片子都支持C67节段侧方存在神经根明显的压迫,C6-7是您的责任节段。某种意义上说,只有把脊柱的病症定位到节段、明确压迫的性质,才是真正的诊断,而不是把一切都套上颈椎病。”
“那万一疼痛不是C67节段引起的呢?”张老太毕竟是财务会记出身,非常谨慎。
“放心,我们可以给您做神经根阻滞诊断试验。”专家医生回答道。
“神经根阻滞试验是联系临床症状和影像学表现的纽带和桥梁。它是用细针穿刺到神经根出口的位置,打一点很少的麻药,如果疼痛能够缓解消失,就能证明是这一神经根受压引起的症状,就能帮助医生明确诊断。”
”那我现在接下去怎么治疗比较好呢?”张老太又问。
“您的病史很长,保守治疗3个月无效,而且影响到您正常生活和睡眠,影像诊断可以明确,因此还是要建议您手术治疗。现在我们可以在后路做微创脊柱内镜手术,只需要7.5mm的切口。”
“神经根型颈椎病目前经典的是采用从前路进入的减压手术,颈椎从前向后摘除椎间盘一直显露出神经表面,清理掉椎间盘组织后再做固定融合。但目前最微创的是后路内镜手术。后路微创手术仅需要在颈椎后面做7.5mm切口,通过内镜通道直达颈椎间盘压迫突出的靶点位置,磨开增生的骨组织,显露出神经根就能摘到突出的髓核组织。由于一切都是在内镜下操作,视野清晰,减压充分,创伤极小,恢复很快。”
“前路手术切除较为广泛但需要固定一节颈椎;而后路内镜手术更加微创,保留了这节颈椎的活动度,颈椎的负重相比腰椎要轻很多,因此复发的概率还是很低的张老太和老伴、孩子商量后,欣然同意微创手术的方案。
老太太入院后,当天就在C臂透视下做了颈椎神经根阻滞试验,试验后疼痛就马上缓解了,确证了C6-7就是她的责任节段。第二天在全麻下面顺利进行了颈椎后路内镜手术神经减压术,麻醉醒来后她的疼痛就完全消失了,当晚就睡了一个好觉。第三天他就可以起身正常活动,第四天她就出院回家了。
出院前,她的主刀专家还是向她反复的关照:“您的颈椎疾病是由于长期伏案低头工作积累近期又看手机比较多造成的,虽然现在病症完全消失了,但是您需要保持您健康的颈椎姿势,充分放松和休息,尽量少低头,看手机注意颈部姿势,颈椎保养好才是治疗颈椎病最好的方法。”

图1 神经根型颈椎病放射性疼痛到上肢前臂

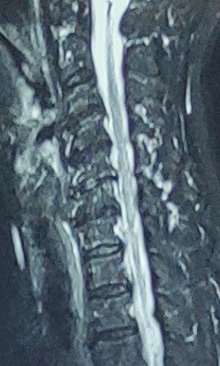
图2 一位80岁老太太颈椎核磁,无神经症状,但每一节都有增生突出表现。

图3 微创脊柱内镜下颈椎后路神经根减压术示意图

图4 不良坐姿对颈椎危害及正确坐姿
作者简介顾昕
上海交通大学附属同仁医院骨科 上海交大脊柱微创中心
第二军医大学骨科博士毕业
学术团体任职
中华医学会骨科学分会微创外科学组青年委员
中国医师协会脊柱疼痛微创工作组委员
上海市医学会骨科分会脊柱微创学组委员
上海市中西医学会脊柱微创学组委员
上海市康复医学会脊柱脊髓专业委员会脊柱微创学组委员
中国肢体残疾康复专业委员会脊柱微创学组委员
中国医药教育协会医联体工作委员会委员
中国老年学和老年医学会《老年骨科学会》微创学组委员
顾昕医师是国内著名的脊柱微创专家,是国内开展脊柱微创尤其是椎间孔镜手术经验最为丰富的医师之一,在脊柱微创手术解剖、理念和医师培训方面做了很多开创性的工作。2015年主编国内首部脊柱内镜专著《经椎间孔脊柱内镜手术》。2023年在首届中国脊柱内镜手术技能大赛中获全国十佳称号。
多次赴德国、新加坡、韩国、香港等地学习脊柱及微创技术,为慕尼黑Schön Klinik München Harlaching访问学者。
在国内核心杂志发表20余篇高质量论著,第一作者或通讯作者SCI论文13篇。《微创技术在脊柱外科的应用及研究》作为核心成员获上海市医学科技二等奖。《脊柱微创手术中减少射线暴露及快速定位的关键技术及应用》作为核心成员获得上海市科学技术奖二等奖。《老年脊柱退变性疾病的精准微创治疗关键技术研究与应用》作为核心成员获2022年华夏医学科技奖 三等奖。《精准微创诊疗体系在脊柱退变性疾病中的应用》作为核心成员 2022年上海医学科技奖三等奖。
作者:顾昕