1/0
“三九”首日,冷空气今夜到!最高5℃……2025上海初雪或下在这些区域→
东方网综合01-08 19:37:52

“三九”第一天

冷在早晨

市区最低气温1.9℃

郊区都在冰点以下

最低的是崇明零下4.9℃

白天风力不大

阳光“给力”

最高气温普遍来到了11℃上下

市区徐家汇站10.9℃

冷空气又来了!

16点钟

它的前锋已经到达江苏中部

预计今天半夜开始影响本市

明天全天气温1-5℃

郊区最低气温多在零下5℃到零下2℃之间

有冰冻或严重冰冻

西北风4-5级

风寒效应明显

注意防寒保暖

伴随着冷锋过境

明天天空云系增多

多云到阴的天气为主

东部沿海地区可能伴有短时小雪或小雨夹雪

不过影响范围小、时间短

相对湿度90%-40%

空气干燥

注意用火、用电、用气安全

图片

天气趋势

【全国降水】未来10天,我国大部地区降水仍然偏少,主要位于西南地区,华东大部地区降水量不足2毫米或无降水。

【全国气温】未来10天,中东部地区弱冷空气活动频繁,气温将由前期偏高转为偏低或接近常年,江南东部、华南地区东部等地平均气温较常年同期偏低1~3℃。

上海接下来会更冷吗?

持续的冷,可能会感觉更冷!

周五、周六气温跟明天相差不大

最高气温5~6℃,最低气温1℃附近

郊区更低

多在零下5℃到零下2℃之间

会出现冰冻或严重冰冻

周日至下周初气温会小幅回升

最高气温将回到10℃以上

下一次明显降温出现在下周中后期

降水方面

未来几天

雨水相对较少

多云天气为主

要提醒大家注意的是

天干物燥,一定要注意用火用电安全

上海会下雪吗?

俗话说,“三九四九冰上走”,通常1月中下旬是上海一年中最寒冷的阶段,这波冷空气影响会将偏暖的气温重新拉回冬天的正常状态。申城天空的云系也会随之增多,崇明和浦东新区等东部沿海地区还有可能会出现短时的小雪或小雨夹雪,但是,下雪的范围小、时间短、强度弱,想要一睹大范围飘雪美景的可能性不是太大。

天气越来越冷

防寒保暖工作要做足

警惕近期高发的流感

据中国疾控中心最新数据,目前流感病毒阳性率持续上升,其中99%以上为甲流。医生提醒,感染后要及早治疗,当心“熬”成肺炎。

一家6口出游

5人感染甲流

据浙大二院消息,在发热门诊里,有患者家庭一行6人出游,结果5人都感染了甲流。

凌晨1点,浙大二院发热门诊来了一位50多岁的李阿姨(化名)。

“我们一大家子一周前去旅游了,到那第二天就开始发热咳嗽喉咙痛,全身肌肉也连带着酸痛,买了个体温计量一量,最高的时候在39℃以上。硬扛了几天,前天实在是顶不住了,去了当地一家医院查了胸片,查出来说是肺炎,建议我住院。我听着吓坏了,赶紧坐飞机回来看病了。”李阿姨拿出来一张胸片报告,上面写着“左下肺炎”。

接诊的庞医生了解到,李阿姨在当地接受了一些治疗,但体温仍居高不下。家中同行的6个人,有5个人都先后发烧了。庞医生判断,李阿姨大概率是得了传染性较强的呼吸道疾病,立即给她安排了血常规、相关病毒抗原检测,以及更清晰的肺部CT检查,以便进一步了解病情。

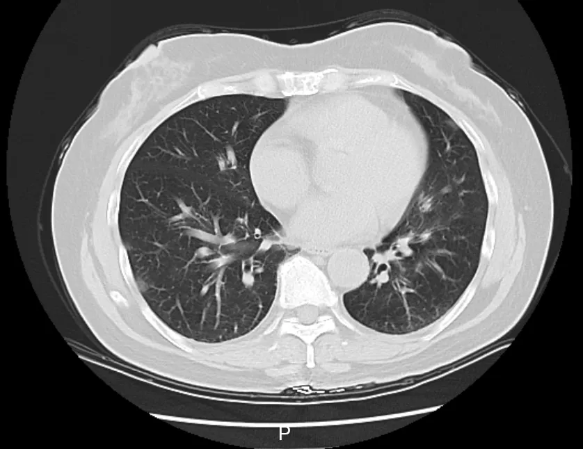
△李阿姨肺部CT影像

检测结果显示,李阿姨已经得了病毒性肺炎,甲型流感病毒核酸呈阳性。这一下,罪魁祸首找到了,是甲流搞砸了这一家人一次本该圆满的旅行。

发热门诊医生立即给她用上了玛巴洛沙韦抗病毒。不出2天,李阿姨的体温恢复了正常,咳嗽咽痛等症状也有了明显好转。

医生提醒:谨防拖成肺炎

据浙大二院6日消息,2025年1月初,浙大二院发热门诊接诊量为2024年12月初的4-5倍,流感样病例(体温≥38℃,伴咳嗽或咽痛之一的患者)的甲流阳性率高于三成。

一旦出现甲流症状,建议早期(发病48小时内)及时使用抗病毒药物治疗,可以减缓症状,缩短病程。前文中的李阿姨如能在发病早期进行抗病毒治疗,应该也不至于发展成肺炎。

流感的常见检测方法有两种:流感病毒抗原检测和流感病毒核酸检测,抗原检测速度快,但敏感性低于核酸检测;抗原阳性可以诊断流感,但阴性不能排除流感;病毒核酸检测的特异性和敏感性都很高。

感染甲流后有哪些症状?

感染甲流后的主要表现为突然的高热,常有咳嗽、咽喉痛、鼻塞、流涕等呼吸道症状,伴有头痛、肌肉酸痛等全身不适,部分患者会出现胃肠道不适感。

来源:东方网、新民晚报、上海天气发布、浙大二院、新华网

选稿:朱雯
知识产权、免责声明以及媒体合作联系
继续了解
知识产权声明

【知识产权声明】

除本司(指上海东方网股份有限公司)另行声明外,本司网页及客户端产品(以下简称“本网”),包括但不限于东方新闻、翱翔、东方头条等,所涉及的任何资料(包括但不限于文字、图标、图片、照片、音频、视频、图表、色彩组合、版面设计、商标、商号、域名等)的知识产权均属本司和资料提供者所有。未经本司书面许可,任何人不得复制、转载、摘编、修改、链接、镜像或以其他任何方式非法使用东方网的上述内容。对于有上述行为者,本司将保留追究其法律责任的权利。

东方网、东方新闻、翱翔,以上均为本司享有权利之合法商标,未经本司书面授权,任何单位或个人不得使用上述商标,或将上述商标用作网站、媒体名称等。

【免责声明】

1、凡本网注明来源“东方网”或“东方新闻”或带有东方网LOGO、水印的所有内容,包括但不限于文字、图片、音频视频,版权均属本司所有,任何媒体、网站或其他任何形式的法律实体和个人未经本司书面授权均不得转载、链接或以其他方式复制传播。与我司签订有关协议或已经获得本司书面授权许可的媒体、网站或其他任何形式的法律实体和个人,应在授权范围内使用,且必须注明来源“东方网”。其目的在于传递更多信息,并不意味着本司赞同其观点或认可其内容的真实性。如果其他媒体、网站或其他任何形式的法律实体和个人使用,必须保留本司注明的“稿件来源”,并自负全部法律责任。如擅自篡改为“稿件来源:东方网”,本司将依法追究责任。

2、擅自使用东方网名义转载不规范来源的信息、版权不明的资讯,或盗用东方网名义发布信息,设立媒体账号等,本司将依法追究其法律责任。

3、鉴于本网发布主体、发布稿件来源广泛,数量较多,如因作者联系方式不详或其他原因未能及时与著作权拥有者取得联系,或著作权人发现本网转载了其拥有著作权的作品时,请主动来函、来电与本司联系,或与本司授权的中国文字著作权协会联系,提供相关证明材料,我方将及时处理。
中国文字著作权协会联系方式:
联系人:赵洪波 唐亚静
地 址:北京西城区珠市口西大街120号太丰惠中大厦1027-1036室
联系电话:010-65978917
邮 箱:wenzhuxie@126.com

4、本网所有声明以及其修改权、更新权及最终解释权均属本司所有。

【媒体合作】

本司为尊重保护著作权,鼓励有益于社会主义精神文明、物质文明建设的作品的创作和传播,促进互联网良性发展,本着平等互惠、资源共享的原则,诚邀各类媒体、网站、单位、个人与本网建立友好的合作关系。
媒体合作、内容转载请联系
联系人:杨老师
联系电话:021-22899781