儿童难治性癫痫(Drug-Resistant Epilepsy in Children)是儿童神经系统疾病中最具挑战性的领域之一。长期癫痫发作或癫痫发作频率高给患儿认知、记忆、生活质量、社会心理、生长发育带来严重的影响,更是无数家庭难以承受之痛。即便抗癫痫发作的药物更新迭代,在儿童群体中,仍有20%-30%的癫痫患者最终发展为药物难治性。当药物无法有效控制孩子的癫痫发作时,家庭往往陷入焦虑与无助。本文将从多角度科学地解析儿童难治性癫痫的病因、诊断与治疗进展,并提供实用建议,帮助家长走出困境。
一、什么是难治性癫痫?
目前药物难治性癫痫的定义仍沿用国际抗癫痫联盟(ILAE)2010年的定义,指的是应用正确选择且能耐受的2种抗癫痫发作药,仍未能达到持续无发作。这类患儿的脑部常存在结构性或功能性异常,例如皮质发育畸形、基因突变或代谢缺陷等。更通俗地讲,要诊断难治性癫痫需满足以下条件:
两种及以上抗癫痫发作药物(ASM)规范治疗失败:强调2种药物,可以是单药,也可以联合用药,用药方案需合理,药物需足剂量、足疗程使用;
未能达到持续无发作:药物治疗过程中出现任何形式的发作(包括患者自己感觉得到,家属看不出来的发作),或者因为缺少睡眠、发热等原因诱发的发作,均视为未能达到持续无发作。
排除“假性难治”可能:如误诊(非癫痫性发作)、用药依从性差、药物选择不当等。
二、为什么孩子会患上难治性癫痫?
1.遗传因素:从突触性疾病到通道病

近年来,基因检测技术的进步揭示了难治性癫痫的深层原因。
①部分基因影响突触蛋白,例如:DMN1、STXBP1、STX1B等,均可造成严重的难治性癫痫,如婴儿痉挛。
②离子通道病相关的基因,例如:SCN1A基因突变(Na+通道):部分SCN1A基因导致Dravet综合征(婴儿严重肌阵挛癫痫),患儿对钠通道阻滞剂(如卡马西平)可能加重发作;KCNQ2/3通道异常(K+通道):与良性家族性新生儿惊厥相关,通常药物治疗效果好,但部分患儿可能进展为耐药性发作。
③其他的基因,例如:TSC1/TSC2基因突变:影响mTOR通路,导致结节性硬化症,相当一部分患者发展为药物难治性癫痫,可以用雷帕霉素及类似物治疗,部分患者需要通过外科手术的方法来治疗;CDKL5基因缺陷:可引发早发性癫痫性脑病,伴有严重发育迟缓。
2.结构性异常:大脑的“隐形伤痕”
常见的结构性异常包括:
局灶性皮质发育不良(FCD):大脑皮层神经元排列紊乱,形成异常放电网络。

图为2岁男孩,右侧盖区FCD病变,手术切除后癫痫无发作
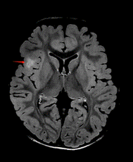
海马硬化:颞叶癫痫的常见病因,手术切除可能根治。

图中箭头为1.5岁女孩左侧海马硬化,手术切除后无发作
结节性硬化症(TSC):mTOR信号通路异常导致脑内多发结节,引发顽固性痉挛或局灶性癫痫,同时大部分患者存在基因异常,需要通过外科手段来治疗。


图为11岁女孩结节性硬化症,室管膜下巨细胞星形细胞瘤(上图)及右额皮层结节(下左、下右图),2期手术后癫痫无发作
巨脑回畸形:一种神经元移行异常性疾病,脑回宽大扁平,脑沟浅小,均匀的脑皮质增厚,脑白质减少。巨脑回畸形导致的癫痫多数是难治性的,如果影响局部,则可手术切除;但巨脑回畸形也可以是双侧或者全脑的,则可采取胼胝体切开、迷走神经刺激、生酮饮食等方法治疗。

图为9岁女孩,双侧后头部巨脑回畸形,成串痉挛发作,胼胝体切开术后无发作
3.代谢与免疫机制:被忽视的“幕后推手”
线粒体脑病:如MELAS综合征、Leigh综合征,能量代谢障碍触发癫痫持续状态;
自身免疫性脑炎:抗NMDA受体抗体攻击神经元,导致急性发作与精神行为异常。
4.年龄依赖性:儿童大脑的特殊性
儿童大脑处于高速发育期,神经元兴奋性较高,异常放电易泛化。例如婴儿痉挛症(West综合征)的“点头发作”,若未在1岁内控制,可能遗留永久性认知损伤;LGS综合征则多见于2-4岁儿童起病,可以有多种形式的发作,极大地损伤大脑,造成认知功能明显受损。
5.治疗延误:时间就是大脑
研究表明,早期规范治疗可降低难治风险。若首次发作后未及时干预,反复癫痫活动可能导致“癫痫性脑病”,形成恶性循环。
三、精准诊断与多模态评估:突破困境
1.视频脑电图(VEEG):“捕捉”发作的黄金标准
长程监测(≥24小时,可以监测到3-7天)可记录发作时的症状表现、发作期的脑电模式,帮助定位致痫灶。例如,额叶癫痫常表现为突发性强直姿势,伴额区为主的脑电节律性快波。
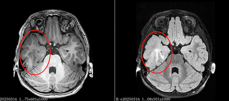
2.高分辨率MRI:寻找“致痫病灶”
3T薄层(层厚<1mm)扫描的头颅MRI联合特殊序列(如FLAIR、SWI、QSM)可识别微小病变。例如,FCD II型在MRI上可能表现为“皮质增厚-白质信号异常-灰白质分界模糊”三联征。

图中红色圆圈内显示右侧前颞FCD病变
3.功能影像学:PET与SPECT的互补价值
18F-FDG PET:显示发作间期低代谢区域,偶尔也可以抓到发作期的高代谢,可辅助定位致痫区,灵敏度达到85-93%。
图中箭头所示FDG-PET,发作间期低代谢
发作期SPECT:对比发作期与间期血流变化,灵敏度高达90%。
4.基因与代谢筛查:破解“无病灶”难题
对MRI阴性患儿,全外显子测序(WES)可发现致病性变异;血尿代谢筛查则能诊断苯丙酮尿症、维生素B6依赖症、葡萄糖转运体缺陷等可治性疾病。
四、治疗革命:从药物到手术的多元策略
1.药物治疗:个体化选择与联合方案
现有的研究数据表明,未经治疗的癫痫患者使用第一种单药治疗后有47%能达到无发作,使用第二种药物可有13%达到无发作,而进一步使用第三种或以上的药物,能发到无发作的概率仅为1-3%。尽管如此,近年来还是有一些新型的药物可以尝试。如:靶向基因型用药:如mTOR抑制剂(依维莫司)治疗TSC相关癫痫;新型抗癫痫发作药物如:大麻二酚(CBD)、芬氟拉明对Lennox-Gastaut综合征的发作减少率达28-40%以上。加奈索酮用于与CDKL5缺乏症相关的癫痫发作,经过12个月治疗,患者主要运动性癫痫发作频率平均降低49.6%。
2.生酮饮食:代谢疗法的百年回归
严格的高脂肪、低碳水化合物饮食可改变脑能量代谢,对GLUT1缺陷症、苯丙酮尿症患儿疗效显著。研究显示,30%的难治性患儿通过生酮饮食实现发作减少>50%。
3.外科手术:从“最后选择”到早期干预
儿童难治性癫痫,一旦有手术指证,则建议尽快评估、手术。
切除性手术:如颞叶切除术对海马硬化患儿的无发作率可达60%-80%;
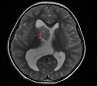
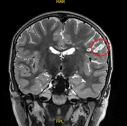
SEEG电极引导的射频热凝:微创手术,通过颅骨上打开一个笔芯大小的小洞,将电极植入到大脑,监测癫痫发作后,利用电极毁损癫痫病灶或者癫痫网络的关键节点,达到治疗癫痫的目的,据统计,该方法可使得60%左右的患者不再发作。

图中圆圈内白色部分为SEEG引导下的热凝毁损的微创病灶,术后达到无发作
激光消融(LITT):微创技术治疗深部病灶(如下丘脑错构瘤),并发症风险低于开颅手术。

4. 神经调控技术:电与磁的精准干预
迷走神经刺激术(VNS):通过颈部植入装置调节脑电活动,长期使用可减少发作频率30-50%;
反应性神经刺激(RNS):闭环系统实时检测并中断异常放电,适合局灶性癫痫中的多灶性癫痫。
5. 基因治疗与干细胞:未来曙光
CRISPR基因编辑疗法剑指致病源头,通过纠正错误的基因序列来从头根治疾病。新型基因疗法,只在过度活跃的细胞中启动表达(起作用),而在正常细胞中则不表达(不起作用),由此成功地区分了异常脑细胞和正常脑细胞,并进步针对异常活跃的细胞进行针对性的治疗。AAV病毒载体可将正常基因导入突变神经元,已在动物模型中成功纠正SCN1A缺陷。
药物难治性癫痫治疗决策树:
五、家庭护理:守护孩子的生活质量
1. 发作急救:关键5分钟
保持侧卧位,防止误吸;勿要掐人中、勿往口鼻塞异物、勿强压抽搐中的肢体,以免造成不必要的伤害。同时尽量记录发作形式与时长,使用视频拍摄等提供给医生材料做辅助诊断;
若发作>5分钟,立即使用直肠地西泮或地西泮鼻喷。
2. 认知与行为管理
定期评估发育水平,可介入语言、作业治疗等康复手段,应对注意力缺陷或多动,可尝试行为疗法而非盲目用药。
3. 心理支持:打破病耻感
通过患儿互助小组、心理辅导帮助孩子建立自信。家长需避免过度保护,鼓励参与适龄活动,重返社会。
结语
儿童难治性癫痫的治疗是一场需要医患携手的长跑。尽管挑战重重,但每一次医学突破都在改写命运。通过早期识别、精准干预与全程管理,越来越多的孩子正走出癫痫阴影,拥抱完整人生。记住,永不放弃希望——因为科学永远在前进。
作者:叶晓来 上海交通大学医学院附属上海儿童医学中心功能神经科
作者:叶晓来
选稿:陈斌