一位六旬患者体内巨大肾上腺肿瘤被成功切除
近日,上海市浦东新区公利医院多学科团队成功为一位六旬患者切除体内巨大肾上腺肿瘤,经测量,肿瘤直径约20cm,如此巨大的肾上腺肿瘤临床上极为罕见。

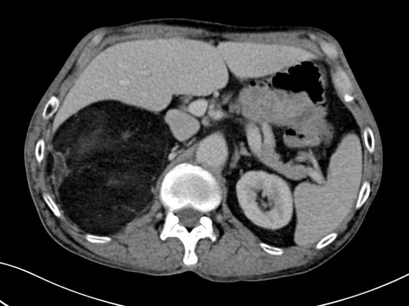
腹部CT:右肾上腺巨大肿瘤
年过六旬的彭老重度哮喘已有10余年,还患有重度慢性阻塞性肺病。然而,彭老还是一位“老烟枪”,就这样一边哮喘住院,一边抽着烟,谁也劝不动。五年前,老先生被发现长了一个肾上腺良性肿瘤,当时大约有鸡蛋大小,谁知,如今竟然长到了将近20cm,像个小篮球。
为此,彭老慕名找到了公利医院泌尿男科学部。接诊医生、泌尿男科学部执行主任蔡志康在看到彭老的CT后,评估有手术指征,当机立断建议他入院手术。
彭老的治疗困难重重。一是肿瘤巨大,手术难度高,没有做微创手术的条件,开放手术潜在的出血风险大,尤其是要保护肝短静脉;二是术中要解决分离肿瘤与肝脏、肾脏及腔静脉界限问题,术野空间狭小无异于“夹缝间求生存”;三是彭老的基础状况欠佳,哮喘频繁,肺功能令人担忧。
蔡志康联合呼吸科、麻醉科制定了缜密的手术方案,对每一步潜在的风险都做好了预案。手术当天,在打开彭老的腹腔后,只见硕大的肿瘤几乎霸占了右侧腹腔一半的空间。在分离肾脏时,发现肿瘤包膜与肾包膜粘连严重,在评估肾脏完好后,用超声刀将界限一点点游离开来。就这样一点点地攻克每一个难点,肿瘤终于被完整地切除了下来。经测量,肿瘤的最大径达到了20cm。
在术后恢复期,彭老又经历了两次哮喘发作,在泌尿男科学部和呼吸与危重症医学科的通力协作下,老人均顺利渡过难关。

蔡志康介绍,肾上腺肿瘤一般发展得较为迅速,症状也较为隐匿。高血压患者,尤其是年轻的高血压患者,如果通过多种降压药都无法控制血压,需要考虑高血压与肾上腺疾病有关。目前,手术切除是治疗肾上腺肿瘤的首选方法。
需要注意的是,有些肾上腺肿瘤并没有激素分泌功能,如果直径<2cm,可以不手术,每年复查即可。如发现肿瘤体积>2cm或在随访复查中肿瘤体积继续增大,或原无内分泌功能变成有内分泌功能的,都建议手术切除。而对于有分泌功能,即内分泌检查有异常的,不论肿瘤大小均建议手术切除。