孕妇产检时发现胸腔巨大肿瘤,服药让肿瘤“变小”后在沪手术切除

方文涛医生为患者看诊。 本文图片 上海市胸科医院提供
“医生说我恢复得很好,努力把身体养好了,今后才能再拥有健康的宝宝。”5月25日上午,来自广州的胡女士在上海市胸科医院专家门诊复诊,看到各项检查结果都很好,让她对新生活充满了期待。
回首一个月前仿佛一场噩梦,当时还是“准妈妈”的胡女士在产检时,发现胸腔内巨大肿瘤,不仅被迫放弃“孕育宝宝”的念想,还被“死亡”阴霾笼罩。胡女士还记得,当时检查结果发现,巨大的肿块几乎占据她整个胸腔,左侧肺组织都被完全压缩了,病理穿刺结果证实了胡女士得的是B3型胸腺瘤。
她辗转多家医院就诊,都束手无策,因为胡女士胸腔内的肿块巨大,而且周围的心包肺、大血管等重要器官都已有侵犯,手术风险巨大。最后,经人推荐,她通过上海市胸科医院的互联网医院找到了胸外科主任方文涛。
方文涛表示,胸腺瘤是前纵隔最常见的一类恶性肿瘤,手术切除是治疗的最主要的方式。但是,局部进展期的胸腺肿瘤往往侵袭范围广,直接手术切除非常困难,有效的诱导治疗能让肿瘤“局部变小”,提高切除率。临床上,基于目前的指南,医生们会较多地选择化疗来做诱导治疗。但是,在充分融合了患者自身对预后生育的希冀、胸科医院临床研究结果以及临床经验等方面思考后,方文涛为胡女士制定了激素治疗方案。既往,无论是胸科医院的临床经验,还是国外的文献报道,都有激素治疗有效促使肿瘤缩小的先例。

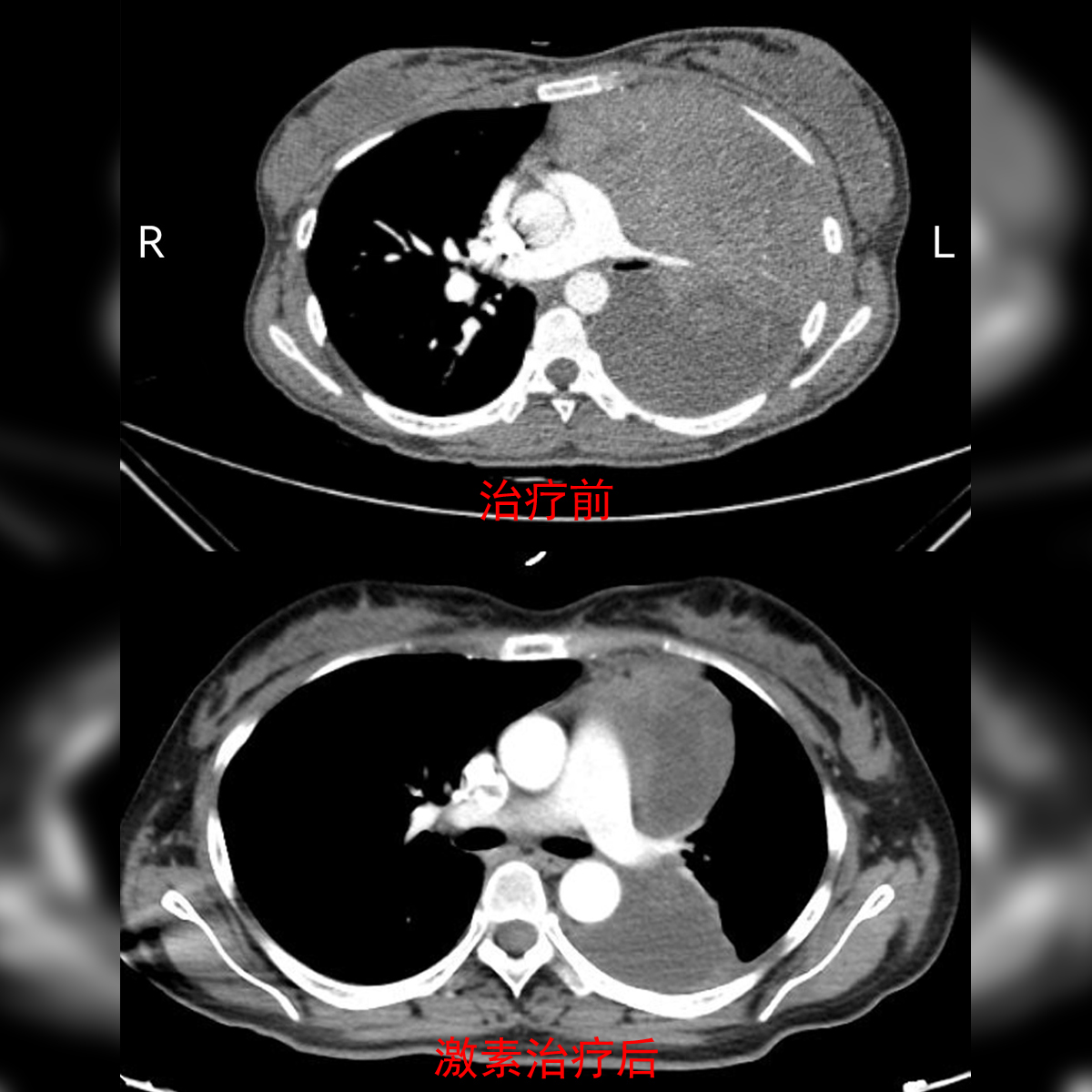
治疗前和激素治疗后的影像学对比图。
按照医嘱服药一段时间后,胡女士的肿块明显缩小了。通过便捷的互联网医院系统,方文涛明确了她的病情,告诉他们“可以过来手术了。”那时,胡女士体内的肿块虽然已消减,但仍然是个直径近20公分的“大家伙”,而且侵犯周围血管、神经和左肺,还长进了心脏外面的包膜内,手术风险非常高。术中,如果损伤到喉返神经,会导致患者出现声音嘶哑等症状。更让人担心的是,她的胸膜上同时显示存在一个病灶,但并不知道是否为肿瘤转移。为应对各类情况,医生们制定了手术方案与应急预案。
手术当天,方文涛及其团队先实行了胸骨正中切口纵隔肿瘤切除术。术中探查发现,胸膜上的病灶只是胸腺瘤的延续,没有出现肿瘤的胸腔播散,这也意味着患者可以尝试通过一个切口完成手术,这让手术团队松了一口气。

手术中。
然而,患者胸腔内侵犯粘连的情况比预想得还严重。对此,方文涛一点点游离肿瘤周围组织,随后合并切除了左上叶、左侧无名静脉、左侧膈神经以及部分心包组织,仅耗时3小时就完成手术。
术后第二天,胡女士就转回了普通病房,身体恢复得很快,声音也丝毫未变。
方文涛介绍,相比肺癌、食管癌等其他胸部肿瘤,胸腺肿瘤相对少见,病理分型较为复杂,临床医生在诊疗过程中如果缺乏经验会感觉非常棘手。对于一般的胸腺肿瘤,参考中国抗癌协会胸腺肿瘤专委会制定的《胸腺肿瘤整合诊治指南》进行诊疗,通常可以获得很好的疗效,但是临床上有时会遇到一些非常规且有个体化需求的患者,这时应该考虑最新的临床研究进展,精准施策,力求达到最佳的治疗效果。
“目前,我们医院也在开展诸多临床研究探索胸腺肿瘤的个体化治疗,比如针对局部进展期胸腺肿瘤的诱导治疗,针对伴有胸膜播散(IVa期)胸腺肿瘤进行胸膜剥脱术+术后全胸膜放疗的新型治疗模式,针对晚期胸腺肿瘤患者的临床新药研究以及B型胸腺肿瘤的激素治疗等多项临床研究项目,努力让诸多患者获得救治希望和更好的生活。”方文涛说。