19岁女生突发腹痛危及生命,这种胰腺肿瘤好发于年轻女性
19岁的大一女生突发腹痛,检查后竟发现直径12厘米的巨大胰腺肿瘤,所幸医生最终为患者顺利切除肿瘤。专家提醒,要重视腹部健康检查,警惕上腹部疼痛不适、腹胀。
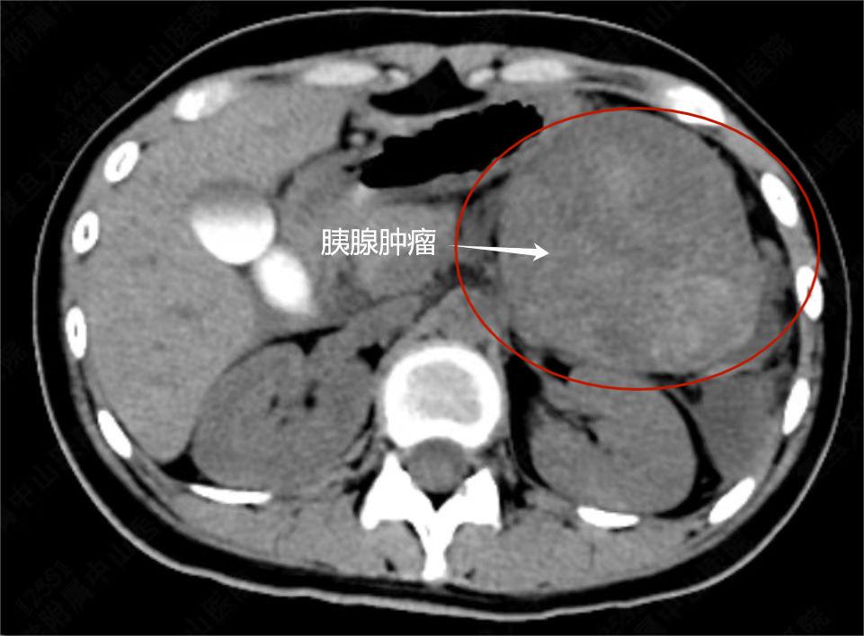
5月20日,澎湃新闻(www.thepaper.cn)记者从复旦大学附属中山医院获悉,19岁的大一女生娟娟(化名)已于5月17日顺利出院。8天前,她因突发腹痛来到中山医院就诊,被发现胰体尾部长有一个直径约12厘米的巨大肿瘤,当时已有破裂迹象,一旦引发大出血,将危及生命。

19岁患者娟娟(化名)术前影像片。本文图片均为复旦大学附属中山医院 图
中山医院胰腺外科副主任医师张磊接诊后,迅速将娟娟收治入院。专家团队讨论后,认为娟娟患有的是胰腺实性假乳头状肿瘤,肿瘤巨大且有破裂表现。通常这种情况,医生往往以开放式手术治疗为主,但这会在患者上腹部留下长约25厘米的疤痕。同时,因脾动静脉与胰体尾联系较为密切,通常切除胰体尾的时候,会一并切除脾脏。
治疗团队考虑到娟娟才19岁,脾脏切除会影响其免疫、造血、过滤等功能,经过慎重评估,最终决定采用腹腔镜下保留脾脏的胰体尾切除术,力图在保障手术效果的同时,降低并发症风险,将手术对患者未来生活的负面影响降到最低。
张磊解释,脾动静脉有许多细小分支在胰体尾部交织穿行,有些分支甚至已深入肿瘤内部与其紧密黏连。由于娟娟体型瘦小但肿瘤巨大,即使术中建立人工气腹,手术操作空间依然受限。精准切除肿瘤的同时保护脾动静脉毫发无损,是手术的难点和关键。
5月11日,张磊带领主治医师李剑昂为娟娟实施了手术。术中,医生在娟娟脐下切开微小切口,向腹腔内注入气体建立人工气腹,为手术操作开辟空间。紧接着,医生通过双侧腹壁开设的4个0.5-1.0厘米小口接入腹腔镜,在距离肿瘤1厘米处实施了精准的胰腺切除术。
最后,医生通过扩大脐下切口,顺利取出了病变组织和肿瘤。在麻醉科、输血科及手术室护理团队的紧密协作下,历经3个小时手术顺利完成。在医护团队照料下,娟娟的伤口愈合良好,术后6天顺利出院。

患者出院前与中山医院治疗团队合影。
专家提醒,胰腺实性假乳头状肿瘤(Solid Pseudopapillary Tumor,SPT)是一种相对罕见的低度恶性的胰腺肿瘤,好发于年轻女性。手术切除是首选的治疗方法。随着肿瘤体积的增大,患者可能会出现上腹部疼痛不适、腹胀等症状,并可能在上腹部触摸到肿块。因此,建议相关人群重视腹部健康检查,一旦确诊,应尽早手术治疗。