食管癌+白血病!医生为七旬老人重启“食”光
近日,仁济医院嘉定分院(嘉定区中心医院)胸外科一位“双肿瘤”患者经历了微创食管癌切除+胃代食管颈部吻合+脾切除手术,顺利出院。
患者刘老伯今年已经76岁高龄,半个月前体检时发现白细胞异常增高,骨髓穿刺确诊慢性粒单核细胞白血病,遂就诊于仁济医院嘉定分院(嘉定区中心医院)血液科,予水化碱化、保肝护胃、止血等对症治疗。

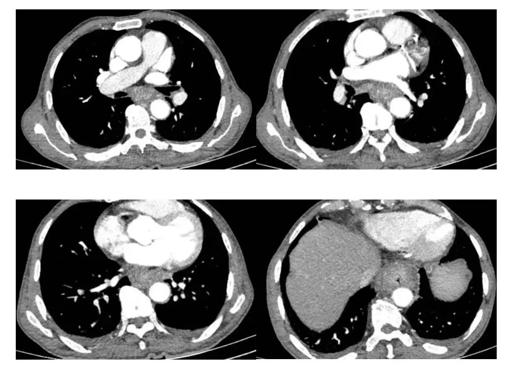
胸部增强CT:患者食管中下段管壁、贲门处胃壁明显增厚
医生进一步询问病史,发现患者有进行性吞咽困难1月余,伴有体重减轻,乏力等症状。胸外科主任李建新在分析病情后考虑食管中下段癌累及贲门胃底可能,患者合并白血病,伴有贫血、血小板减少,营养不良性低蛋白血症,脾功能亢进,有化疗禁忌,若不及时手术干预,情况必然恶化。
但手术怎么做是个挑战
……
传统食管癌手术是外科手术中创伤最大的手术之一,因食管行经颈胸腹部,手术需要“开颈、开胸、开腹”,加之手术涉及消化道的重建,需要将胃从腹腔提高胸腔,并吻合到颈部,这周围有诸多重要的器官、组织,所以手术风险程度极高,时间也长达五六个小时,术后患者疼痛明显、并发症多、恢复慢,也导致很多年龄较大的患者常常因为难以忍受折磨而放弃手术。

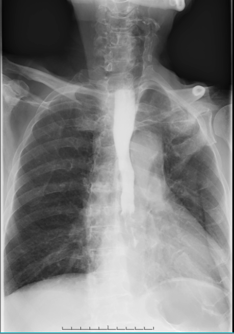
食管造影:患者食管中下段局限性狭窄
面对患者复杂的病情,李建新主持召开多学科联合会诊(MDT)。经与会专家讨论,大家达成共识,认为切除巨脾后有利于经胸腹联合切口显露贲门胃底,解决脾亢所致的血小板减少,于是决定先行手术,解除食管梗阻,术中输注血小板,加强抗感染,积极防治出血,改善情况后,恢复营养摄入,为后续白血病及食管癌的化疗创造条件。

近日,患者刘老伯接受了全麻下食管癌切除+胃代食管颈部吻合+脾切除术。由于整个手术在胸腔镜辅助下进行,切口小、出血少、恢复快,也完全没有传统食管手术的剧烈疼痛不适感,术后不久,刘老伯已经能够正常进食面条、馄饨等半流质食物,目前已顺利出院。下一步,医生将根据患者恢复情况,安排白血病的治疗及食管癌的化疗。
食管癌预防小知识
医生提醒:吸烟和重度饮酒是食管癌重要致病原因。研究显示,吸烟者食管癌的发生率增加3~8倍,而饮酒者增加7~50倍。建议戒烟戒酒,细嚼慢咽,不吃热烫食物,呵护食管健康。
专家介绍

李建新
胸外科主任医师
普外科副主任
擅长单孔电视胸腔镜下肺叶、肺段及联合肺亚段切除术、肺癌扩大切除术;胸、腹腔镜联合食管癌切除术;剑突下单孔胸腔镜下纵膈肿瘤切除术;贲门失迟缓症、食管裂孔疝微创手术治疗等。
专家门诊时间:周一全天、周三下午
来源:上海市嘉定区中心医院