CRT-D植入术后,终末期心衰患者说“可以外出逛上海了”
近日,海军军医大学第三附属医院心内科主任张亮带领团队,为一名60岁心力衰竭的退役老兵开展CRT-D术(植入式心脏再同步治疗心脏转复除颤器),有效缓解患者心衰症状,使病情迅速稳定下来。

海军军医大学第三附属医院心内科主任张亮团队为患者手术。院方供图
12月20日,澎湃新闻记者从海军军医大学第三附属医院获悉,退役老兵唐先生已有多年心衰病史,曾求助于多家医院,均未能有效缓解。近一个月来他的病情加重,出现胸闷、气短,甚至夜间平卧就会出现闷喘。家属多方咨询后,来到海军军医大学第三附属医院心内科就诊。
张亮将患者唐先生收治住院,复查其心脏彩超及心电图,显示心脏大,心衰重,病情危重,诊断为终末期心力衰竭,有生命危险。张亮说,终末期心衰在世界范围内治疗的方法主要包括内科药物保守治疗、心脏器械治疗和心脏移植术。药物治疗对终末期心衰作用有限,心脏移植又不现实,所以该患者适合三腔起搏器来纠正传导阻滞,改善心衰,而带有除颤功能的起搏器能够明显降低死亡率,因此医生决定为患者行CRT-D植入手术。

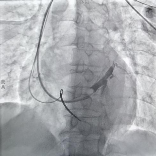
患者造影球囊的造影影像。院方供图
CRT-D植入术属于四级手术,目前是起搏领域难度系数极高的手术,医生不仅要掌握常规起搏器植入技术,还须掌握冠脉介入技术。张亮说,难点集中于左心室电极植入,需要借助二维X线影像指导,通过复杂的导管操作,将导丝和电极置入细小的左心室侧壁静脉。受各种因素影响,手术失败的可能性不低。
经过周密的术前准备,张亮带领团队在心导管室为患者实施局麻下手术,穿刺左侧锁骨下静脉后,经左室长鞘中置入Amplatz导管找到冠状窦;随后团队使用造影球囊进行冠状静脉造影,经仔细评估确定靶向左室静脉支后,通过精准的导丝操作置入电极,最终顺利完成手术。
术后第二天,唐先生的精神状态焕然一新,能自己下床走动,并且明显感觉胸闷减轻,气喘缓解了许多。术后第7天,患者随访心肺运动耐量较前明显改善,心电图QRS间期缩短为152ms ,复查心超提示射血分数已由术前的19%跃升至30%。目前,唐先生在植入CRT-D后病情稳定,身体逐渐康复,他感慨自己可以外出逛逛上海了。