科普|孕前口腔检查有必要吗?当然!

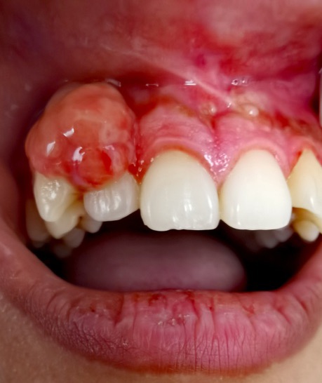
“医生,我现在怀孕5个月,每天刷牙出血怎么办?” “医生,我牙疼的睡不着,可我怀孕了,能做治疗吗?” “医生,我脸肿了2天了,可现在怀孕了不敢吃药怎么办啊?” 临床上,我们经常接到此类患者,这些妊娠期妇女正在被各种口腔疾病困扰,而她们多数是没有做过孕前口腔检查的,那么孕前口腔检查究竟有必要吗? Part1 孕期可能发生哪些口腔疾病? ·牙龈炎和牙周炎 牙龈是女性激素的靶组织,妊娠时血液中的女性激素特别是黄体酮水平增高,使牙龈对局部刺激的反应增强,导致牙龈毛细血管扩张充血,血管通透性增加,炎症细胞和液体渗出增加,加重原有的牙龈炎症。妊娠期龈炎可表现为牙龈的炎症,如红肿、出血等,也可表现为一个或多个牙龈乳头呈瘤样肥大。患者一般在妊娠前即有不同程度的慢性龈炎,从妊娠2~3个月后出现明显症状,到8个月时达到高峰,分娩后约2个月时,牙龈可减轻至妊娠前水平。需要注意的是,并不是所有人都会得妊娠期龈炎,牙菌斑是妊娠期龈炎的直接病因,妊娠期妇女若不注意维护口腔卫生,致使牙菌斑、牙结石在龈缘附近堆积,才易引发牙龈炎症,更有甚者,会出现牙周骨组织破坏,牙根暴露,牙齿松动,发展为牙周炎。有研究报道患有严重牙周病的孕妇,产生早产和低体重儿的危险性较健康人增加了7倍,所以孕前牙周检查至关重要。

(作者供图 牙龈瘤)
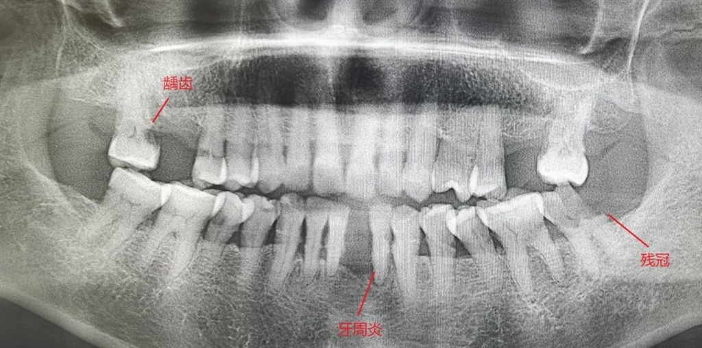
·牙体硬组织疾病 孕期更容易发生龋病,这是因为妊娠期妇女进食频率增加,口腔卫生不易清洁,且口味会发生变化,喜食酸甜的食物,加上女性激素水平变化出现孕吐反应,口腔处于酸性环境,细菌分解蔗糖产生酸性物质,使得牙釉质脱矿,形成龋齿。浅龋一般无自觉症状,中龋多变现为冷、热、酸、甜刺激性疼痛和食物嵌入后疼痛,深龋症状较中龋重,当刺激源去除后疼痛立即消失,无自发性痛。牙体硬组织非龋性疾病主要有楔状缺损、牙磨损和牙隐裂,楔状缺损是牙颈部硬组织发生缓慢消耗所致的缺损,多是因刷牙方式不对导致,症状与中龋相似;牙磨损多是因咀嚼硬物导致的牙体硬组织慢性磨耗;牙隐裂指牙冠表面的非生理性细小裂纹,常不易被发现,表现为冷热刺激敏感或咬合不适。龋病和非龋性疾病若不控制,可近一步发展成牙髓炎和根尖周炎,会给妊娠期妇女带来难以忍受的痛苦。牙髓炎即俗话说的“牙神经发炎”,孕期常见的牙髓炎多为慢性牙髓炎急性发作,表现为自发性阵发性痛,夜间痛,温度刺激加剧疼痛和疼痛不能自行定位,这就是俗话说的“牙痛不是病,痛起来要了命”。根尖周炎多为牙髓炎的继发病,多为死髓牙,指发生于根尖周组织的炎症性疾病,主要表现为牙齿咬合痛,牙龈肿胀、溢脓、长疱(即瘘管),死髓牙若发展为残冠,残根,则需要拔除可能。因此,发现早期牙体硬组织疾病,一定要及时处理,越拖越麻烦,切记小洞不补,大洞吃苦。

(作者供图 牙体硬组织疾病)
·智齿冠周炎 是发生在第三磨牙(也称智齿)周围软组织的炎症,多是由于智齿萌出不全或阻生导致。智齿被龈袋覆盖,形成“盲袋”,易导致食物残渣残留,若清理不干净,可引起细菌滋生,引发急、慢性炎症。智齿冠周炎多发生在18~30岁的人群,这个年龄段恰好是多数女性选择怀孕的时间,因此智齿冠周炎在妊娠期妇女中很常见,症状多表现为智齿周围牙龈肿胀、疼痛,严重者可表现为张口受限,进食吞咽困难,面部肿胀,甚至体温升高、食欲减退、头痛等全身症状,进而对孕妇和胎儿造成一定的影响。因此,孕前一定要进行智齿检查,有可能引起发炎的智齿应在怀孕前尽早拔除。

(作者供图 智齿冠周炎)
Part2 孕前口腔检查有哪些内容? ·牙龈炎和牙周炎 孕前口腔检查也称孕前口腔体检,其中很重要的一项内容为:检查患者口内是否有牙结石(包括牙龈上结石和牙龈下结石),有无牙龈红肿、出血,有无牙龈增生,有无牙根暴露、牙齿松动。治疗建议一般为:全口洁治(即洗牙);有牙龈下结石的还需龈下刮治;牙龈已有增生且无法用保守治疗消除的,必要时需行手术治疗;牙齿松动严重无法保留的需尽早拔除。 注意:严重的牙龈炎和牙周炎,治疗期间需配合使用抗生素。 ·龋病、非龋性疾病、牙髓炎和根尖周炎 孕前口腔检查第二项重要的内容为:检查患者是否有龋齿、非龋性疾病(包括楔状缺损、牙磨损、牙隐裂等),是否已发展成牙髓炎或根尖周炎。治疗建议一般为:充填治疗;严重的患牙需进行根管治疗进行试保留,即俗话说的“烂牙神经”,根管治疗疗程一般为3~5次,间隔1周左右;对于无法保留的残冠残根应尽早予以拔除。 注意:诊断及根管治疗过程中可能需要拍摄口腔X线片,严重的炎症需配合使用抗生素,因此建议孕前3~6个月进行口腔牙齿检查。 ·智齿 孕前口腔检查第三项重要的内容为:检查患者口腔内是否有智齿,方向如何,是否被牙龈覆盖,是否与前牙有食物嵌塞,是否伸长,是否为废用的牙齿。治疗建议为:拔除有症状或潜在风险的智齿。 注意:智齿的诊断及治疗过程中有可能拍摄口腔X线片和口腔CBCT片,智齿拔除后需使用抗生素减轻感染,因此建议孕前3~6个月进行口腔智齿检查。 此外,孕前口腔检查的内容还包括检查患者口内是否有缺牙,若影响进食则建议孕前修复缺失牙;是否有不良修复体,若易引起牙龈炎症牙齿疼痛,则建议拆除不良修复体。 Part3 孕期如何进行口腔维护? 1、饮食调整 牙发育是一个长期、复杂的过程,乳牙从胚胎第2个月开始发生,恒牙在胚胎第4~5个月开始发生。怀孕期间尽量控制酸甜食物的摄入,保证营养摄入均衡,怀孕早、中期需多摄入富含蛋白质、钙、磷和维生素D的食物,这对胎儿的骨骼和牙齿发育至关重要。 2、口腔清洁 妊娠期的母体处于一种特殊状态,激素水平改变、摄食次数与食量增多,生活规律改变等,使口腔卫生变差。因此需加强口腔清洁,做到饭后刷牙,使用软毛牙刷竖向刷牙,每次刷3分钟,除牙刷外,需配合使用辅助工具,如牙线,牙缝刷和冲牙器进行牙缝和牙龈沟的清洁,做到有效清洁,预防妊娠期龈炎的发生。

3、孕期出现口腔问题及时就医 孕期一旦出现口腔问题,如牙龈出血,牙齿疼痛,面部肿胀等需及时就医,切不可硬抗或滥用药物。如确需治疗,妊娠4~6个月,胎儿比较稳定,为治疗相对安全期;若需使用抗生素,则可在妇产科医生指导下酌情用药。 总而言之:孕前口腔检查至关重要,口腔检查内容及治疗方案因人而异,建议到正规口腔门诊就诊。愿每一位准妈妈都能被温容以待,不受口腔疾病的困扰! 作者:侯乾乾 上海交通大学医学院附属瑞金医院 口腔科