科普|警惕口腔黑色素痣 切莫讳疾忌医
2010年由冯小刚导演、葛优主演的电影《非诚勿扰2》在国内上映后取得了不俗的反响,其中由孙红雷饰演的李香山给观众留下了深刻的印象。李香山在剧中罹患恶性黑色素瘤,在生前举办了别开生面的“人生告别会”,从发现病情到去世仅半年不到。李香山的经历在社会上引起了热烈的讨论,很多人谈“黑”色变,生怕自己身上的哪颗痣会跟李香山一样突然变为恶性黑色素瘤;而电影里李香山最后选择放弃治疗,“体面的”离世也让社会上很多人讳疾忌医。作为从事恶性黑色素瘤研究的医务工作者,我经常在门诊碰到很多患者来就诊时面带愁容,指着自己口里黏膜黑色病变,问:医生,我是不是得了恶性黑色素瘤,是不是没救了?答案是口腔黏膜黑色病变大部分都是良性的,其中只有一少部分黑色素痣会恶变。下文笔者将以图文并茂的方式向大家详细介绍口腔黏膜黑色病变,让大家对口腔黏膜发黑不再恐惧。
一、病因及特征
1. 外源性色素沉着
咱们的口腔黏膜为什么会发黑?首先第一大因素就是外源性的色素在口腔沉积,导致黏膜发黑,绝大多数的外源性色素沉着导致的口腔发黑都是良性的。外源性色素来源主要包括3类:食物、吸烟及口腔治疗。
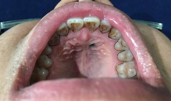
食物:民以食为天,我们每天都要通过口腔摄入大量的食物,而几乎每种食物都含有色素,其中包括咖啡、果汁、巧克力等富含色素又容易在口腔残留的食物,这些食物在咀嚼过程中很容易在口腔各个区域沉积,如果没有及时清理出去,久而久之就会导致口腔黏膜发黑。色素同时也会在牙齿上沉积,导致周围牙齿发黑(图1)。

图1:食物导致口腔腭部黏膜发黑,同时伴有很多牙齿发黑。
吸烟:吸烟导致口腔黏膜发黑的原理跟食物类似,口腔黏膜发黑的同时在牙齿上也能发现很多烟斑。与食物稍有差异的是,吸烟导致的黏膜发黑大部分发生在口腔下半区,包括下牙区、下嘴唇,这可能跟吸烟的方式有关(图2)。

图2:吸烟导致下嘴唇和下牙龈发黑,同时下牙也见到色素沉着。
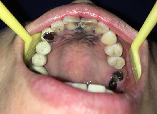
口腔治疗:口腔治疗包括补牙、装假牙等都会在口腔里放入一些材料,这些材料又会在口腔里存留很长时间,部分材料特别是镍铬合金,在口腔潮湿的环境里会被腐蚀,导致口腔黏膜发黑(图3)。

图3:口内装了多个镍铬合金的烤瓷牙,导致口腔天花板黏膜发黑。
2.内源性色素沉着
导致口腔黏膜发黑的第二大因素就是内源性色素沉积。黑色素是口腔黏膜内最常见的内源性色素,其导致的口腔黏膜发黑主要可以分为黑斑、雀斑样痣和黑色素痣三大类。
口腔黑斑:顾名思义就是口腔里长了黑色的斑块,它的形成原因就是内源性的黑色素合成过多所致,它的特点就是跟邻接的正常黏膜是平齐的,不凸也不凹,最常见于嘴唇,经常表现为单独的一块(图4),但偶而也能见到多发的黑斑(图5)。同样,绝大多数的口腔黑斑也是良性的。

图4:下嘴唇单独一块黑斑。

图5:下嘴唇多发黑斑。
口腔雀斑样痣:口腔里出现的类似雀斑样的病变,形成原因与黑斑相同,也是黑色素合成过多所致,相比黑斑,雀斑样痣颜色更淡一些,有时呈棕色,范围也更大,跟邻接的正常黏膜也是平齐的,不凸也不凹,最常见于脸颊部(图6)。同样,绝大多数的口腔雀斑样痣也是良性的。

图6:脸颊上可见雀斑样痣,呈棕色。
口腔黑色素痣:与前两者相比,口腔黑色素痣非常少见,形成原因则是由黑色素细胞增殖形成的肿瘤样病变。口腔黑色素痣是可能恶变为恶性黑色素瘤的,所以需要引起我们的警惕。跟邻接的正常黏膜相比,黑色素痣多数呈隆起状,颜色比较深,周围也可以伴随有黑斑(图7)。

图7:伴随有黑斑。
3.其他因素
不管是内源性还是外源性色素沉积引起的口腔黏膜发黑都是永久性的,它不太容易去除,在没有治疗的情况下通常会伴随人的一生。除色素沉积外,引起口腔黏膜发黑的一个物理因素就是不小心咬破了黏膜,比如吃饭或晚上睡觉的时候不小心咬到了舌头、脸颊等,导致黏膜破损形成血疱。血疱在愈合过程中颜色也会变深,看上去像是发黑一般。这种因咬破引起的黏膜发黑一般都是短暂的,半个月左右就会自然消失。
二、治疗
对于口腔黏膜发黑我们需要避免两个极端:第一,自己动手。很多人有用牙签剔牙的习惯,看到口腔黏膜发黑也用牙签去剔,自以为“放完血”病就好了;第二,恐惧病情不治疗,以为发黑就是得了恶性黑色素瘤,讳疾忌医。其实大部分的口腔黏膜发黑其实都是良性的,甚至可以不用治疗,而仅仅只有一部分口腔黑色素痣存在恶变的潜能,需要引起警惕,尽早进行手术切除。所以一旦发现口腔黏膜发黑,尽早到专科医院进行检查,做到“早发现、早诊断、早治疗”。
谈到具体治疗的手段,在医学上,对于黏膜黑色素病变可以有手术切除、冷冻治疗以及激光治疗等手段。
三、预防
预防口腔黏膜发黑首先需要养成良好的生活习惯,包括早晚刷牙,定期去洗牙,这样可以避免很多外源性色素在口腔沉积;其次,也需戒除一些不良习惯,例如抽烟、牙签剔牙等;最后可以选择正规的医院进行口腔治疗,像引起口腔黏膜发黑的钴铬合金材料在正规医院基本被淘汰,可以避免口腔治疗带来的色素沉着。
口腔黏膜发黑常常困扰着人们,我们可以发现大部分的口腔黏膜黑色病变都是良性的,通过简单治疗就可以解决病情。只有小部分的口腔黏膜色素痣可能会恶变为恶性黑色素瘤。因此,对于口腔黏膜发黑,我们需要警惕口腔黏膜色素痣,切莫讳疾忌医。
作者:吴云腾 上海交通大学医学院附属第九人民医院口腔颌面头颈肿瘤科