科普|胎儿成长何以见证?唯有超声
十月怀胎,一朝分娩!从“种子”种到宝妈的身体开始,小家伙就在宝妈的肚子里(子宫)生根发芽、慢慢长大了。你想知道宝宝在整个孕期是如何成长变化的吗?让我们走进超声的世界,一起见证小可爱是如何成长的吧。
早孕期
医学上的孕周是以末次月经的第一天开始算起的。有的宝妈受孕后心情很急迫,月经刚推迟两天就来医院做超声检查了,殊不知此时做超声检查往往一无所获(图1)。不要着急,只要宝妈没有腹痛见红等不适症状,我们就可以放松心情,再等几天。

图1 超声提示:宫内未见妊娠迹象
孕5-6周,我们在超声下会看到子宫里出现了一个小小的黑暗区域(图2)。偷偷告诉心急的宝妈,这个典型的“暗区”虽然空空如也,却极有可能是宫内早孕的前期征象,只是因为超声的分辨力尚不足以发现更细微的变化。让我们心态放轻松,继续静待花开。

图2 超声显示:宫内无回声区
孕6-7周,你的小可爱开始通过超声暗示TA的存在了。此时超声下可以看到暗区内出现了一个小囊泡,它就是我们医学上所说的“卵黄囊”(图3)。卵黄囊其实是胚胎的营养物质,所以卵黄囊的存在多可提示胚胎发育良好。此时的超声告诉我们一个道理:没看到TA,不等于TA不存在。

图3 超声提示:宫内早孕(见卵黄囊)
孕7-8周,TA终于刷出存在感了(图4)。在之前的卵黄囊边上,我们终于看到了点状的TA。两者结合起来就像钻戒一样光彩夺目。实时超声下“戒指”上的“钻石”一闪一闪,正是TA快速搏动的心管。至此,宝妈应该可以放心了:小天使终于找到了正确的位置且存活下来。

图4 超声显示:宫内早孕
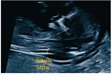
孕11-13周此时的TA初具人形,长度(头臀长)在5~8厘米,在超声下很容易被看见,而且一眼万年(图5-1)。超声下的TA展示出大体的解剖结构如颅脑、心脏、肢体,腹腔脏器等等,因此我们正式称之为胎儿。孕11-13周的胎儿非常适合进行NT(胎儿颈项透明层)的检查(图5-2),以评估胎儿患唐氏综合征的风险。

图5-1 超声显示:宫内妊娠

图5-2 超声测量NT值
早孕期超声计算孕龄:
有些准妈妈因经期不准或忘记经期时间而烦恼。医生有什么办法估测她们的怀孕时间呢?超声一定有办法!我们利用超声测量孕囊的平均直径(毫米),通过公式推导出怀孕的天数;也可以利用超声测量胎芽长度或胎儿的头臀长(厘米),通过公式推导出怀孕的周数。因此,准妈妈们可以根据早孕期超声报告的数据计算和估测怀孕时间。具体公式如下:
妊娠天数=孕囊平均直径(毫米)+30 (适合孕7周前)
妊娠周数=胚芽长或头臀长(厘米)+6.5 (适合孕7-12周)
中孕期
中孕期是胎儿在妈妈肚子里成长最快的时间,我们用超声继续见证胎儿的生长发育。
孕16-18周此时的TA在超声下显得瘦小虚弱,看上去没什么肉肉,但是大头小身的骨架清晰可见。超声下对TA可谓一览无余:TA的头有多大、腿有多长、肚子多大、心跳快慢、羊水多深等等。
孕20-26周TA已经长得有模有样,系统结构清晰,头身大小合适,明显长壮实了。超声检查时会看到你的宝贝在羊水里自“游”自在,或打个哈欠,或伸伸懒腰,或翻身躲藏,或手舞足蹈。孕20-26周是超声检查胎儿解剖结构和筛查胎儿畸形(大排畸)最适宜的时间,可以见证TA的颅脑结构、颜面部、颈部、肺、心脏、肝胆、胃肠、肾脏、膀胱、脊柱、四肢等结构(图片6-1、图6-2)。胎儿这些系统和器官结构的检查,是超声医生通过慧眼观察和巧手找寻,最终在上百个超声切面上实现的。上述检查为我们提供了如此美妙的胎儿图像,同时保障了优生优育,不禁感慨小小超声大大能量!


图6-1 超声显示:中孕
虽然产科超声“大排畸”可以发现大部分的胎儿畸形,但是超声医生不是神仙,超声也不是神器,根据我国产前超声检查要求及目前技术条件,我们并不能发现所有的胎儿畸形。另外胎儿智力、听力、视力等功能性异常目前也无法通过超声检出。如果因为胎儿体位影响导致超声扫查受限时,宝妈不用担心,可遵医嘱多多走动,待胎儿变换体位后再行超声检查,一般都能得到满意的结果。

图6-2 “大排畸”超声报告
晚孕期
晚孕期胎儿的各个器官系统基本发育成熟,体重迅速增加,我们继续用超声见证。
孕28-34周:TA继续生长发育,变得强壮有力。孕32周之后的TA 已经没有足够的空间畅游了,四肢也蜷曲起来,动作幅度也变小,胎位较为固定,也导致超声检查变得困难。尽管如此,我们依然通过超声关注两个方面(图7 ):一,TA的大小合适吗?晚孕期的TA逐渐展示出个体差异性,变得不那么“标准”,如有的腿短一些,有的头大一点,有的又太胖了。我们在超声下测评TA的各项数据是否符合标准孕周,如果实际孕周与标准孕周相差在两周以内也是允许的。二,TA赖以生存的附属三件套(胎盘脐带羊水)是否正常?胎盘是否成熟或老化?脐带血流是否正常?羊水量多还是少?当然除了超声,临床医生也会结合其他检查综合评估胎儿在母体的情况。

图7 超声显示晚孕
孕37-40周:TA已足月。超声下判断TA的胎位可谓轻而易举,瞬间确定。TA的各种系统器官已经发育成熟,头身长大缓慢、主打“养膘”。我们在超声下测量TA的双顶径、头围、股骨、腹围等各项参数,用以估算出TA的体重。我们通过超声观察TA的附属三件套的变化。羊水量逐渐变少。缺乏了羊水的映衬,超声对TA的显示愈发困难和模糊了(图8:超声显示晚孕足月)。

图8 超声显示:晚孕足月
十月怀胎,瓜熟蒂落。这十个月中,我们以超声为眼,以超声为尺,持续见证和评估胎儿的生长发育,真是个神奇的过程!虽然超声波对胎儿安全无害,可反复检查,我们依然友情提醒大家,做超声也要选择合适的时间。孕妈在无异常症状的前提下,可以按照医生建议的时间段进行产前超声检查,如孕6-8周、11-13周、16-18周、20-26周、28-34周和37周后。其中产前超声检查指南【2012】推荐超声检查的3个重要时间段为孕11-13周、孕20-24周和孕28-34周。当然不管在孕期哪一阶段,即使让最有名的专家进行彻底的超声检查,也不能检测出所有的胎儿畸形。希望所有的孕妈都能“幸孕”顺遂,和我们一起携手超声,持续见证小天使的成长!超声医生永远是小天使们的守护“超人”!
作者:王硕 上海市同济医院/同济大学附属同济医院超声诊断科